Khí tĩnh mạch cửa là gì?

Bác sĩ Hệ thống Tiêm chủng VNVC

14:19 22/12/2025
Khí tĩnh mạch cửa là dấu hiệu lâm sàng quan trọng, thường liên quan đến các bệnh lý nặng ở đường tiêu hóa và tuần hoàn ổ bụng. Việc phát hiện sớm tình trạng này có ý nghĩa quyết định trong chẩn đoán, xử trí khẩn cấp và cải thiện tiên lượng sống còn của người bệnh..
Bài viết được tư vấn chuyên môn bởi BS Bùi Thanh Phong - Bác sĩ tiêm chủng, Hệ thống Trung tâm tiêm chủng VNVC

Khí tĩnh mạch cửa là gì?
Khí tĩnh mạch cửa là hiện tượng tích tụ khí, hình thành bóng khí trong tĩnh mạch cửa (tĩnh mạch cửa là mạng mạch đưa máu từ ruột đến gan), có thể quan sát được qua phim chẩn đoán hình ảnh X - quang, siêu âm hoặc cắt lớp vi tính. Đây là một dấu hiệu lâm sàng cho thấy có rối loạn nghiêm trọng trong ổ bụng, không phải bệnh lý riêng biệt.
Tại sao xuất hiện khí trong tĩnh mạch cửa?
Cơ chế sinh ra khí ở trong tĩnh mạch cửa thường là do tổn thương lớp niêm mạc ruột (ví dụ hoại tử ruột, loét sâu, thủng vi thể) khiến khí từ lòng ruột hoặc khí sinh ra do vi khuẩn xâm nhập vào hệ tĩnh mạch mạc treo rồi theo tĩnh mạch cửa về gan. Những nguyên nhân thường gặp gồm nhồi máu ruột/thiếu máu mạc treo, tắc ruột nặng, viêm ruột hoại tử (nhất là ở trẻ sơ sinh), nhiễm trùng nặng trong ổ bụng, chấn thương hoặc các thủ thuật nội soi can thiệp làm rách niêm mạc… (1)
Trong một số trường hợp hiếm, các thủ thuật y tế (ví dụ nội soi, đặt ống thông) hoặc tình huống cấp cứu (hồi sức tim phổi) cũng có thể tạo ra khí thoáng và được ghi nhận trên hình ảnh mà không kèm tổn thương hoại tử nặng.
Ở trẻ em, khí tồn tại trong tĩnh mạch cửa thường liên quan đến các can thiệp y khoa và bệnh lý sơ sinh nặng như:
- Đặt ống thông tĩnh mạch rốn;
- Viêm ruột hoại tử (NEC);
- Viêm dạ dày - ruột sơ sinh;
- Bệnh hồng cầu bào thai;
- Phát hiện sau phẫu thuật chỉnh hình ruột.
Ở người lớn, nguyên nhân gây xuất hiện khí trong tĩnh mạch cửa đa dạng và thường phản ánh những rối loạn nặng trong ổ bụng, bao gồm:
- Thiếu máu cục bộ ruột;
- Ung thư đại trực tràng hoại tử/loét;
- Bệnh viêm ruột (IBD);
- Loét dạ dày-tá tràng thủng;
- Giãn lòng ruột hoặc dạ dày;
- Liệt ruột;
- Tắc ruột cơ học;
- Chấn thương áp suất;
- Nhiễm trùng huyết ổ bụng;
- Viêm túi mật hoặc đường mật;
- Viêm ruột thừa;
- Viêm tụy xuất huyết;
- Viêm ruột do khí (nguyên nhân chưa rõ);
- Bệnh phổi tắc nghẽn mãn tính (COPD);
- Sử dụng corticosteroid;
- Bệnh tiểu đường;
- Tiêu chảy;
- Hồi sức tim phổi;
Một nghiên cứu tổng hợp trên 275 bệnh nhân có khí trong hệ thống tĩnh mạch cửa gan cho thấy nguyên nhân phổ biến nhất là thiếu máu cục bộ ruột và bệnh lý mạch máu mạc treo, chiếm 61,44%. Tiếp theo là viêm đường tiêu hóa (16,26%), tắc nghẽn hoặc giãn ruột (9,03%), nhiễm trùng huyết (6,6%), chấn thương hoặc can thiệp y khoa (3,01%) và ung thư (1,8%). Trường hợp vô căn chiếm 1,8%. (2)
Từ các dữ liệu này có thể thấy, có khí bên trong tĩnh mạch cửa chủ yếu phản ánh những bệnh lý nghiêm trọng trong ổ bụng và mạch máu ruột, nhiều trường hợp cần can thiệp cấp cứu, đặc biệt là khi liên quan đến thiếu máu ruột và hoại tử. Tuy vậy, vẫn tồn tại một tỷ lệ nhỏ các nguyên nhân lành tính, có thể theo dõi và điều trị nội khoa nếu được phát hiện sớm và đánh giá đúng bản chất bệnh.

Khi nào khí trong tĩnh mạch cửa là dấu hiệu nguy hiểm?
Khí trong tĩnh mạch cửa trở thành dấu hiệu nguy hiểm khi phản ánh tình trạng thiếu máu nuôi ruột, hoại tử ruột hoặc nhiễm trùng ổ bụng nặng. Đây là nhóm nguyên nhân có tỷ lệ tử vong cao và cần can thiệp khẩn cấp. Những trường hợp còn lại có thể ít nghiêm trọng hơn nhưng vẫn cần được theo dõi chặt chẽ để đảm bảo an toàn cho người bệnh:
1. Nguyên nhân cấp tính
Các nguyên nhân cấp tính thường liên quan đến tổn thương nghiêm trọng tại đường tiêu hóa. Thiếu máu nuôi ruột là bệnh lý có tỷ lệ tử vong được ghi nhận lên đến 75 - 90%. Viêm ruột hoại tử ở trẻ sơ sinh có thể làm tỷ lệ tử vong dao động từ 30 - 50%. Huyết khối tĩnh mạch cửa và mạc treo cấp tính có thể gây thiếu máu mạc treo, với tỷ lệ tử vong được báo cáo lên đến 76% nếu không được can thiệp kịp thời.
Trong những trường hợp này, khí xuất hiện trong tĩnh mạch cửa là hậu quả của tổn thương thành ruột, vi khuẩn sinh khí xâm nhập vào mạch máu và lan nhanh theo dòng tuần hoàn, báo hiệu tình trạng nguy kịch thực sự.
2. Nguyên nhân lành tính hoặc ít nguy hiểm hơn
Khí tĩnh mạch cửa có thể xuất hiện trong các tình huống lành tính hoặc ít nguy hiểm hơn, như thủ thuật nội soi tiêu hóa, đặt ống thông dạ dày, hồi sức tim phổi, chấn thương áp lực hoặc các can thiệp y khoa khác (3). Trong trường hợp này, khí thường xuất huyết thoáng qua, không kèm thiếu máu ruột hay nhiễm trùng nặng. Tình trạng này thường tự hồi phục và chỉ cần theo dõi lâm sàng kết hợp chẩn đoán hình ảnh để đảm bảo an toàn.
Tóm lại, khí tồn tại trong tĩnh mạch cửa chỉ thực sự nguy hiểm khi đi kèm các dấu hiệu thiếu máu ruột, hoại tử hoặc nhiễm trùng nặng. Vì vậy, việc đánh giá mức độ nguy hiểm không chỉ dựa vào hình ảnh CT mà phải kết hợp chặt chẽ triệu chứng lâm sàng, xét nghiệm và nguyên nhân nền để quyết định hướng xử trí an toàn nhất cho người bệnh.
Những cách chẩn đoán tình trạng tồn tại khí trong tĩnh mạch cửa hiệu quả
Khí trong tĩnh mạch cửa là một dấu hiệu lâm sàng quan trọng, có thể được phát hiện qua nhiều phương tiện chẩn đoán hình ảnh. Việc lựa chọn kỹ thuật phù hợp giúp đánh giá chính xác vị trí và mức độ của khí, từ đó định hướng bước xử trí tiếp theo trong lâm sàng:
1. Chụp CT cắt lớp
Chụp CT cho phép quan sát chi tiết các ổ khí bên trong tĩnh mạch cửa và các nhánh, thể hiện dưới dạng vùng khí phân nhánh có mật độ thấp. Giao diện giữa mạch máu và khí trên CT có thể tạo hiện tượng nhiễu sọc. Khí thường phân bố ngoại vi trong gan, điều này giúp phân biệt với khí trong đường mật, vốn tập trung ở trung tâm.

2. Siêu âm
Trên siêu âm, khí trong tĩnh mạch cửa xuất hiện dưới dạng các ổ di động tăng âm trong lòng tĩnh mạch. Khi sử dụng Doppler, có thể nhận thấy các gai nhọn hai bên đường nền trên màn hình phổ Doppler, hỗ trợ xác định vị trí và mức độ khí. Siêu âm cho phép đánh giá nhanh và lặp lại nhiều lần, đặc biệt hữu ích ở trẻ sơ sinh và người bệnh có chống chỉ định với CT.

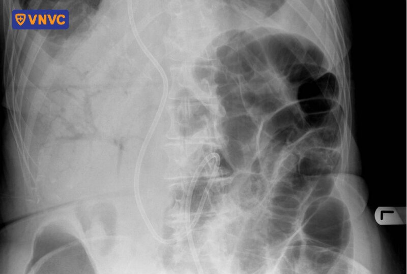
3. Chụp X-quang
Trên phim X-quang, khí tĩnh mạch cửa biểu hiện thông qua các phân nhánh trong suốt chiếu vào gan, theo hướng các mạch máu về phía gan. Phương pháp này cung cấp cái nhìn tổng quan, giúp phát hiện nhanh sự hiện diện của khí, mặc dù độ nhạy thấp hơn CT và siêu âm Doppler.

Nguyên tắc điều trị khi phát hiện khí trong tĩnh mạch cửa
Khi phát hiện khí trong tĩnh mạch cửa, việc điều trị dựa trên mức độ nghiêm trọng và nguyên nhân:
- Phẫu thuật khẩn cấp: Can thiệp phẫu thuật được chỉ định khi phát hiện ổ khí ở trong tĩnh mạch cửa đi kèm thiếu máu ruột, thủng đường ruột (4). Phẫu thuật kịp thời giúp loại bỏ ổ tổn thương, giảm áp lực hệ tĩnh mạch và ngăn ngừa suy đa tạng.
- Điều trị nội khoa bảo tồn: Điều trị nội khoa bảo tồn được áp dụng khi người bệnh ổn định và không có bằng chứng thiếu máu ruột. Khí tồn tại trong tĩnh mạch cửa không phải là dấu hiệu tiên lượng xấu, cần được xem xét trong toàn bộ bối cảnh lâm sàng để tránh chỉ định phẫu thuật không cần thiết. (5)
Tóm lại, khí tĩnh mạch cửa là dấu hiệu quan trọng, phản ánh sự hiện diện của ổ khí ở trong tĩnh mạch cửa và các nhánh của nó, không phải là bệnh lý riêng biệt. Phân biệt chính xác với khí trong đường mật dựa trên kiểu phân bố và vị trí giúp định hướng đánh giá lâm sàng, đồng thời cung cấp thông tin trực tiếp về tình trạng tuần hoàn cửa gan, phục vụ cho việc chẩn đoán và theo dõi bệnh lý gan - mạch.
- Jones, J., & D’Souza, D. (2008). Portal venous gas. Radiopaedia.org. https://doi.org/10.53347/rid-1913
- Hussain, A., Mahmood, H., & El-Hasani, S. (2008). Portal vein gas in emergency surgery. World Journal of Emergency Surgery, 3(1), 21. https://doi.org/10.1186/1749-7922-3-21
- Carlone, G., Dubuis, J., Sgardello, S. D., Gussago, S., & Fournier, I. (2023). Successful conservative management of hepatic portal venous gas following percutaneous endoscopic gastrostomy: a case report. American Journal of Case Reports, 25, e942721. https://doi.org/10.12659/ajcr.942721
- Peloponissios, N. (2003). Hepatic portal gas in adults. Archives of Surgery, 138(12), 1367. https://doi.org/10.1001/archsurg.138.12.1367
- Mehta, S., Desai, G. S., Shah, S., Mehta, H., & Phadke, A. (2020). Hepatic Portal Venous Gas: An Ill Omen or a Misleading Sign. The Surgery Journal, 06(01), e37–e41. https://doi.org/10.1055/s-0040-1702919







