Vì sao ho gà có thể gây gãy xương sườn?
Gãy xương sườn do ho gà là biến chứng đã được ghi nhận trong y văn, hiếm gặp nhưng có thể xảy ra, đặc biệt ở người lớn có loãng xương. Trẻ sơ sinh và trẻ nhỏ tuy ít gặp biến chứng này hơn nhưng lại dễ bị các biến chứng nghiêm trọng khác như ngưng thở, viêm phổi, co giật hoặc tổn thương não, nhất là ở trẻ chưa được tiêm đầy đủ vắc xin phòng bệnh ho gà.

Bác sĩ Huỳnh Trần An Khương – Quản lý Y khoa, Hệ thống tiêm chủng VNVC cảnh báo như trên và cho biết thêm, ho gà là bệnh lý hô hấp cấp tính do vi khuẩn Bordetella pertussis gây ra. Bệnh dễ lây lan, một người mắc có thể truyền bệnh cho 12 - 17 người khác trong 1 - 2 tuần đầu. Trẻ sơ sinh là đối tượng có nguy cơ cao nhất. Mặc dù đã có nỗ lực tiêm chủng rộng rãi, số ca ho gà đã tái phát trên toàn cầu do gián đoạn tiêm chủng sau Covid-19 và tỷ lệ tiêm nhắc lại đúng lịch sau mỗi 10 năm bị suy giảm.
Ho gà có triệu chứng rất đặc trưng, trẻ thường ho rũ rượi, không thể kiềm chế, kèm theo tiếng thở rít và có thể nôn, giảm bú, mất nước dẫn đến mệt mỏi. Các cơn ho mạnh kéo dài 6 - 7 tuần, nếu không được kiểm soát tốt, trẻ có nguy cơ tử vong do viêm phổi nặng, cơn ngưng thở, biến chứng thần kinh nghiêm trọng như phù não hoặc nhiễm trùng thứ phát. Ngoài ra, y văn đã ghi nhận trường hợp biến chứng nghiêm trọng do ho gà như gãy xương sườn, tràn khí màng phổi, với triệu chứng ban đầu thường dễ nhầm lẫn với các nhiễm trùng siêu vi.

Lý giải cho tình trạng gãy xương sườn do ho gà, Bác sĩ An Khương cho biết, bệnh ho gà gây ra những cơn ho dữ dội, kịch phát, tạo ra những thay đổi áp suất mạnh trong khoang ngực. Theo thời gian, những cơn ho dữ dội lặp đi lặp lại có thể tạo ra lực quá mức lên xương sườn, có khả năng dẫn đến gãy xương. Nguy cơ này đặc biệt cao ở những người có xương yếu, chẳng hạn như người cao tuổi hoặc những người bị loãng xương. Khi gãy xương sườn, các cạnh sắc của xương gãy có thể đâm thủng hoặc rách màng phổi, dẫn đến các biến chứng như tràn khí màng phổi.
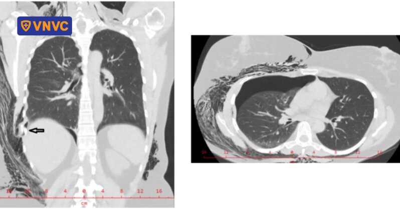
Thực tế lâm sàng đã ghi nhận nhiều trường hợp gãy xương sườn gây ra do ho gà.
Ở Mỹ, một nữ bệnh nhân 66 tuổi nhập viện do gãy xương sườn số 9 sau cơn ho dữ dội. Kết quả chụp CT xác nhận dương tính với vi khuẩn Bordetella pertussis, nguyên nhân gây bệnh ho gà. Trường hợp này khẳng định ho gà không chỉ nguy hiểm ở trẻ em mà còn đe dọa nhiều biến chứng cho cả người lớn.
Một trường hợp khác là nữ bệnh nhân 48 tuổi, nhập viện với tình trạng đau lưng nghiêm trọng, ho khan và sưng quanh xương bả vai, lan ra cổ. Bệnh nhân được xác định bị gãy xương sườn, tràn khí màng phổi và tràn khí dưới da, xét nghiệm cho thấy nồng độ kháng thể Bordetella pertussis cao.
Nghiên cứu năm 2022 của Wang và cộng sự cũng mô tả một trường hợp gãy nhiều xương sườn và đốt sống ở bệnh nhân cao tuổi mắc ho gà, nhấn mạnh áp lực cơ học nghiêm trọng mà ho gà có thể gây ra cho hệ thống cơ xương.
Ngoài ra, Bác sĩ An Khương cũng chỉ ra rằng, không chỉ riêng ho gà mà ho do các bệnh lý khác cũng có thể dẫn đến những biến chứng tương tự. Sự gia tăng áp lực trong các phế nang do ho liên tục có thể gây ra phình dưới màng phổi hoặc thậm chí tràn khí màng phổi trong trường hợp các phế nang bị vỡ. Điều này cho thấy rằng, ho không chỉ là một vấn đề về đường hô hấp, mà nó còn có thể gây tổn thương lan tỏa đến toàn cơ thể nếu không điều trị kịp thời.
Nghiên cứu năm 2021 của Yeung và cộng sự cho thấy, nếu không được điều trị đầy đủ, ho gà có thể dẫn đến các biến chứng viêm phổi, bệnh não và ho kéo dài, đặc biệt là ở trẻ sơ sinh, người lớn tuổi và những người có bệnh lý nền. Đặc biệt, người lớn ≥ 65 tuổi có nguy cơ cao gặp các biến chứng hiếm gặp như bệnh não hoặc đột quỵ. Những người mắc bệnh hô hấp mạn tính, béo phì hoặc suy giảm miễn dịch cũng dễ gặp biến chứng nặng như viêm phổi thứ phát. Rủi ro càng gia tăng nếu chẩn đoán muộn, do ho gà thường khởi phát giống cảm, dễ bị nhầm lẫn và bỏ sót trong giai đoạn sớm.

Để phòng ngừa nguy cơ lây nhiễm, mắc bệnh ho gà và các biến chứng nguy hiểm do ho gà gây ra, đặc biệt là gãy xương sườn, Bác sĩ An Khương khuyến cáo tiêm ngừa chủ động vắc xin có thành phần ho gà cho trẻ em và người lớn.Trung tâm Kiểm soát và Phòng ngừa dịch bệnh (CDC) Mỹ khẳng định, tiêm ngừa Ho gà - Bạch hầu - Uốn ván đạt hiệu quả bảo vệ lên đến 98% nếu tiêm đúng lịch 3 mũi cơ bản sớm nhất từ 6 tuần tuổi và nhắc lại mũi 4 từ 16 - 18 tháng.
Với trẻ trước 6 tuần tuổi, chưa đủ tuổi tiêm ngừa, thai phụ nên tiêm vắc xin có thành phần ho gà trong thai kỳ, giúp truyền kháng thể cho trẻ, bảo vệ cho đến khi trẻ đủ tuổi tiêm chủng. Tiêm ngừa vắc xin Bạch hầu - Ho gà - Uốn ván từ tam cá nguyệt thứ 2 và được khuyến cáo tốt nhất ở tuần thứ 27 - 36 thai kỳ, trước khi sinh 15 ngày, giảm nguy cơ mắc ho gà ở trẻ sau sinh lên đến 90%. Tiêm ngừa sau sinh hoặc dưới 14 ngày trước khi sinh không đảm bảo hiệu quả vì cần thời gian khoảng 2 tuần để tạo lập và chuyển giao kháng thể.
Tổ chức Y tế thế giới (WHO) từ năm 2015 đã nhấn mạnh tầm quan trọng của việc tiêm ngừa cho phụ nữ mang thai như một chiến lược hiệu quả và kinh tế trong phòng ngừa ho gà cho trẻ nhỏ chưa đủ tuổi tiêm. Hội Y học dự phòng Việt Nam cũng khuyến cáo tiêm 1 liều vắc xin Bạch hầu - Ho gà - Uốn ván vào tam cá nguyệt thứ 2 hoặc 3, tốt nhất trước ngày sinh 15 ngày. Mỗi phụ nữ mang thai cần được tư vấn tiêm vắc xin Bạch hầu - Ho gà - Uốn ván cho mỗi lần mang thai, bất kể lịch sử tiêm ngừa trước đây.

Ngoài ra, tất cả các thành viên trong gia đình và cộng đồng cũng nên tiêm chủng đầy đủ để gián tiếp bảo vệ trẻ. WHO khuyến nghị biện pháp bảo vệ hàng đầu cho trẻ nhỏ là tiêm chủng, bao gồm tiêm chủng cộng đồng, tạo “kén’’ qua tiêm chủng cho các thành viên trong gia đình.
Bác sĩ An Khương cũng lưu ý rằng kháng thể từ mẹ sẽ giảm dần theo thời gian, do đó trẻ cần tuân thủ lịch tiêm chủng để duy trì miễn dịch. Theo đó, để duy trì miễn dịch, sau giai đoạn 2 năm đầu đời, trẻ cần tiêm nhắc vắc xin 4 trong 1 trong độ tuổi 4 - 6 và vắc xin Ho gà - Bạch hầu - Uốn ván mỗi 10 năm. Bên cạnh tiêm phòng, các biện pháp phòng bệnh qua đường hô hấp như đeo khẩu trang, giữ khoảng cách khi ở nơi đông người, rửa tay thường xuyên và giữ vệ sinh nơi ở cũng vô cùng quan trọng.
Hiện nay, tại hàng trăm trung tâm tiêm chủng VNVC trên toàn quốc đang cung ứng đầy đủ các loại vắc xin chứa thành phần ho gà cho trẻ em từ 6 tuần tuổi và người lớn cùng danh mục hơn 50 loại vắc xin phòng ngừa gần 50 bệnh truyền nhiễm nguy hiểm. 100% vắc xin chính hãng, bảo quản trong hệ thống dây chuyền lạnh (Cold Chain) chuẩn GSP tiêu chuẩn Quốc tế. Quy trình tiêm chủng được thực hiện an toàn toàn diện bởi đội ngũ bác sĩ, điều dưỡng và nhân viên y tế giàu kinh nghiệm, giỏi chuyên môn, 100% có chứng chỉ An toàn tiêm chủng, cam kết mang đến dịch vụ tiêm ngừa an toàn và hiệu quả tối ưu.
Để được tư vấn, đặt lịch tiêm và giải đáp các thắc mắc liên quan đến việc tiêm vắc xin ho gà, Quý khách có thể liên hệ trực tiếp với VNVC theo thông tin sau:
- Hotline: 028 7102 6595;
- Fanpage: VNVC – Trung tâm Tiêm chủng Trẻ em và Người lớn;
- Xem thêm những thông tin tiêm chủng hữu ích từ kênh Tik Tok: https://www.tiktok.com/@vnvc.vn;
- Tra cứu trung tâm tiêm chủng VNVC gần nhất tại đây;
Để đặt mua vắc xin và tham khảo các sản phẩm vắc xin, Quý khách vui lòng truy cập: https://vax.vnvc.vn/vaccine ;
Đặt mua các sản phẩm chăm sóc sức khỏe và dinh dưỡng chính hãng, chất lượng cao từ các thương hiệu uy tín hàng đầu quốc tế như Nestlé Health Science (Thụy Sĩ), Asahi – Wakodo (Nhật Bản), ECO Green (sản xuất tại Mỹ) với giá ưu đãi tại VNVC SHOP TẠI ĐÂY.
Quý Khách hàng có thể cài đặt ứng dụng “Trợ lý tiêm chủng” – app VNVC dễ dàng thông qua 2 đường dẫn sau:
- Đối với các hệ điều hành IOS (iPhone, iPad…): CÀI ĐẶT TẠI ĐÂY;
- Đối với các hệ điều hành Android (Oppo, Samsung, Sony…): CÀI ĐẶT TẠI ĐÂY.









