Thắc mắc: Vết trắng cổ tử cung có phải ung thư không?

Quản lý Y khoa
Hệ thống Tiêm chủng VNVC

11:39 09/12/2025
Vết trắng cổ tử cung là một dấu hiệu thường gặp trong các vấn đề phụ khoa ở phụ nữ trong độ tuổi sinh sản. Tuy gây nhiều lo lắng và nghi ngại, đặc biệt với nỗi sợ ung thư cổ tử cung, nhưng không phải mọi vết trắng đều là dấu hiệu của ung thư. Hiểu rõ bản chất của hiện tượng này và nhận biết được các nguy cơ liên quan là hữu ích để mỗi phụ nữ tự bảo vệ sức khỏe sinh sản của mình một cách hiệu quả.
| BS Hà Mạnh Cường - Quản lý Y khoa Hệ thống Trung tâm tiêm chủng VNVC chia sẻ: “Vết trắng cổ tử cung không đồng nghĩa với ung thư. Trên thực tế, đa số các vết trắng được phát hiện khi soi cổ tử cung là tổn thương lành tính, thường liên quan đến viêm nhiễm mạn tính, thay đổi nội tiết hoặc phản ứng kích thích kéo dài của niêm mạc. Tuy nhiên, không thể chủ quan, bởi một tỷ lệ nhỏ các trường hợp vết trắng có thể là biểu hiện sớm của tổn thương tiền ung thư hoặc ung thư cổ tử cung giai đoạn đầu”. |

Vết trắng cổ tử cung là gì?
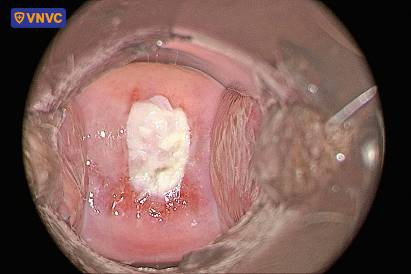
"Vết trắng" (leukoplakia) là thuật ngữ mô tả những mảng trắng bám chặt trên bề mặt niêm mạc, được xem là dấu hiệu có thể liên quan đến nguy cơ phát triển ung thư cổ tử cung.
Khi thăm khám bằng soi cổ tử cung qua mỏ vịt dưới ánh sáng chuyên dụng, các vết trắng biểu hiện rõ rệt dưới dạng tổn thương tại chỗ. Tại đây, niêm mạc bị dày lên bất thường do sự tăng sinh và sừng hóa của các tế bào biểu mô. Quá trình này khiến cho lớp biểu mô chuyển sang màu trắng sáng đặc trưng, khác biệt rõ ràng so với mô lành xung quanh.
1. Mức độ phổ biến của vết trắng ở cổ tử cung
Vết trắng cổ tử cung (leukoplakia) là một tổn thương bất thường khá thường gặp khi thăm khám phụ khoa. Mặc dù tỷ lệ chính xác có thể thay đổi tùy theo dân số nghiên cứu, độ tuổi và các yếu tố nguy cơ kèm theo, nhiều khảo sát cho thấy tổn thương này được phát hiện ở một tỷ lệ đáng kể phụ nữ tham gia chương trình tầm soát định kỳ.
Vết trắng có thể xuất hiện đơn độc hoặc đi kèm với các tổn thương khác như viêm cổ tử cung, loạn sản tế bào hoặc các biến đổi do nhiễm HPV. Đáng chú ý, trong nhóm phụ nữ có nhiễm HPV nguy cơ cao, sự hiện diện của vết trắng cổ tử cung có liên quan đến nguy cơ tiến triển tổn thương tiền ung thư nhiều hơn so với nhóm không có vết trắng.
Vì vậy, dù hiện tượng này không phải lúc nào cũng đồng nghĩa với ung thư, nhưng nó luôn đòi hỏi sự đánh giá nghiêm túc qua soi cổ tử cung và sinh thiết nếu cần thiết, nhằm phát hiện sớm các tổn thương nguy hiểm và can thiệp kịp thời.

2. Vết trắng cổ tử cung có nguy hiểm không?
Không phải tất cả vết trắng cổ tử cung đều nguy hiểm. Nhiều trường hợp, vết trắng xuất hiện do các nguyên nhân lành tính như viêm nhiễm phụ khoa, tăng sản tế bào vảy hay thay đổi nội tiết sinh lý và không gây biến chứng nghiêm trọng nếu được phát hiện, điều trị kịp thời.
Tuy nhiên, một số vết trắng, đặc biệt khi đi kèm bất thường như chảy máu âm đạo ngoài kỳ kinh, đau vùng chậu, khí hư thay đổi màu sắc và mùi, có thể là dấu hiệu cảnh báo tổn thương tiền ung thư hoặc ung thư cổ tử cung giai đoạn sớm. Vết trắng cổ tử cung ác tính thường có bờ không đều, kích thước lớn, bề mặt gồ ghề hoặc dễ chảy máu khi chạm vào.
Do đó, mọi trường hợp phát hiện cần được thăm khám phụ khoa và thực hiện các xét nghiệm chuyên sâu như soi cổ tử cung, sinh thiết khi cần thiết để xác định chính xác tính chất tổn thương. Việc theo dõi và can thiệp sớm giúp giảm thiểu nguy cơ tiến triển thành ung thư, bảo vệ sức khỏe sinh sản và tính mạng người bệnh.
Phân loại vết trắng cổ tử cung
- Dạng phẳng
Vết trắng cổ tử cung dạng phẳng thường có bề mặt mịn, giới hạn rõ, không gồ ghề so với các vùng xung quanh. Đây là dạng tổn thương phổ biến nhất, có thể liên quan đến các biến đổi tế bào nhẹ, tình trạng viêm nhiễm mạn tính hoặc rối loạn sản nhẹ. Dạng phẳng thường ít triệu chứng đi kèm và dễ bị bỏ qua nếu không được thăm khám định kỳ. Tuy nhiên, một số trường hợp vết trắng dạng phẳng cũng có thể tiềm ẩn nguy cơ tiến triển thành tổn thương tiền ung thư, cần theo dõi chặt chẽ qua các xét nghiệm tế bào học và soi cổ tử cung.
- Dạng sùi
Vết trắng cổ tử cung dạng sùi đặc trưng bởi bề mặt gồ ghề, nhô cao, có thể đi kèm tình trạng tăng sinh mạch máu và dễ chảy máu khi tiếp xúc. Đây là dạng tổn thương cần được chú ý nhiều hơn vì có nguy cơ cao liên quan đến các tổn thương loạn sản nặng hoặc thậm chí ung thư cổ tử cung xâm lấn. Sự hiện diện của vết trắng dạng sùi thường đòi hỏi bác sĩ phải chỉ định sinh thiết để xác định bản chất tổn thương, đồng thời can thiệp điều trị kịp thời nếu cần thiết.
- Dạng loét
Vết trắng cổ tử cung dạng loét biểu hiện bằng những vùng niêm mạc bong tróc, trợt loét, có thể kèm theo hiện tượng tiết dịch âm đạo bất thường hoặc chảy máu. Đây là dấu hiệu cảnh báo tình trạng tổn thương nghiêm trọng hơn, có thể do nhiễm trùng nặng, tổn thương tiền ung thư hoặc ung thư cổ tử cung thực sự. Phát hiện vết trắng dạng loét cần tiến hành đánh giá chuyên sâu, bao gồm soi cổ tử cung, sinh thiết và các xét nghiệm liên quan để xác định mức độ tổn thương và lên kế hoạch điều trị phù hợp.
Vết trắng cổ tử cung có phải ung thư không?
Vết trắng cổ tử cung không đồng nghĩa với ung thư. Trên thực tế, đa số các vết trắng được phát hiện khi soi cổ tử cung là tổn thương lành tính, thường liên quan đến viêm nhiễm mạn tính, thay đổi nội tiết hoặc phản ứng kích thích kéo dài của niêm mạc. Tuy nhiên, không thể chủ quan, bởi một tỷ lệ nhỏ các trường hợp vết trắng có thể là biểu hiện sớm của tổn thương tiền ung thư hoặc ung thư cổ tử cung giai đoạn đầu.
Những vết trắng có hình thái bất thường như bề mặt gồ ghề, dễ chảy máu khi chạm, có loét hoặc kèm theo các dấu hiệu lâm sàng như ra máu âm đạo bất thường, đau vùng hạ vị, dịch tiết có mùi hôi cần được thăm khám và đánh giá chuyên sâu để loại trừ nguy cơ ác tính.
Việc xác định bản chất của vết trắng không thể chỉ dựa vào quan sát bằng mắt thường mà cần phối hợp nhiều kỹ thuật chuyên khoa như soi cổ tử cung, xét nghiệm Pap smear hoặc sinh thiết để có chẩn đoán chính xác. Phát hiện và xử trí sớm không chỉ giúp kiểm soát tổn thương kịp thời mà còn đóng vai trò quan trọng trong dự phòng ung thư cổ tử cung hiệu quả.
⇒ Bạn nên tìm hiểu thêm: Các dấu hiệu ung thư cổ tử cung từ nhẹ đến nặng chị em cần nắm rõ
Những nguyên nhân lành tính gây vết trắng cổ tử cung
Một số nguyên nhân lành tính có thể dẫn đến sự xuất hiện của vết trắng trên cổ tử cung, cần được đánh giá chính xác để tránh nhầm lẫn với tổn thương tiền ung thư.
- Viêm nhiễm phụ khoa
Các tình trạng viêm nhiễm do nấm Candida, vi khuẩn hoặc ký sinh trùng có thể gây kích ứng niêm mạc cổ tử cung, dẫn đến sự hình thành các mảng trắng. Những vết trắng này thường là hệ quả của quá trình viêm mạn tính hoặc tái đi tái lại, khiến biểu mô cổ tử cung tăng sản nhằm bảo vệ mô sâu hơn.
- Lạc nội mạc ở cổ tử cung
Lạc nội mạc tử cung có thể lan đến bề mặt cổ tử cung, hình thành các tổn thương dạng mảng trắng. Tuy lạc nội mạc ở vị trí này ít gặp hơn so với buồng trứng hay phúc mạc, nhưng khi xuất hiện, nó cũng gây thay đổi cấu trúc biểu mô và cần phân biệt rõ với các tổn thương nghi ngờ ác tính.
- Tăng sản tế bào vảy lành tính
Tăng sản tế bào vảy là phản ứng sinh lý của cổ tử cung đối với các kích thích cơ học hoặc viêm nhiễm. Quá trình này làm dày lớp biểu mô bề mặt, tạo nên hình ảnh vệt trắng khi soi cổ tử cung. Đây là thay đổi lành tính, không tiến triển thành ung thư nhưng cần theo dõi để kịp thời phát hiện bất thường.
- Thay đổi nội tiết trong chu kỳ kinh và thai kỳ
Biến động nồng độ estrogen và progesterone trong cơ thể người phụ nữ qua từng giai đoạn của chu kỳ kinh nguyệt hoặc khi mang thai có thể làm niêm mạc cổ tử cung thay đổi tạm thời. Các thay đổi nội tiết này có thể tạo nên những vùng trắng sinh lý, thường không kèm triệu chứng và sẽ tự ổn định.
- Sử dụng thuốc đặt âm đạo hay các sản phẩm vệ sinh không phù hợp
Việc lạm dụng thuốc đặt âm đạo, dung dịch vệ sinh có độ pH không phù hợp hoặc các sản phẩm chứa hóa chất mạnh có thể gây kích ứng niêm mạc, dẫn đến hiện tượng tăng sản biểu mô và hình thành vết trắng. Trong trường hợp này, tổn thương thường lành tính và có thể cải thiện khi loại bỏ tác nhân kích thích.
- Tổn thương do quan hệ tình dục hay khám phụ khoa
Những sang chấn cơ học trong quá trình quan hệ tình dục hoặc thủ thuật y khoa như lấy mẫu tế bào cổ tử cung có thể làm tổn thương lớp niêm mạc. Quá trình lành tổn thương sau đó có thể để lại các vùng tăng sản nhẹ, nhìn thấy dưới hình thức vết trắng trong quá trình soi cổ tử cung.

Phân biệt vết trắng cổ tử cung ác tính và lành tính
Vết trắng cổ tử cung là một dấu hiệu phổ biến mà nhiều phụ nữ có thể gặp phải trong suốt cuộc đời. Tuy nhiên, không phải tất cả các vết trắng đều có nguy cơ ác tính. Dưới đây là bảng so sánh giữa trường hợp lành tính và ác tính, với các tiêu chí giúp nhận diện sự khác biệt giữa chúng.
| Tiêu chí | Vết trắng cổ tử cung lành tính | Vết trắng cổ tử cung ác tính |
| Hình dạng vết trắng | Vết trắng có thể có hình dạng rõ ràng, mịn, không bất thường. | Vết trắng có thể có hình dạng không đều, mấp mô hoặc loang lổ. |
| Kích thước vết trắng | Thường có kích thước nhỏ, không thay đổi nhanh chóng. | Vết trắng có thể lớn dần theo thời gian và không ổn định. |
| Màu sắc | Thường có màu trắng đục hoặc trong suốt. | Có thể có màu trắng ngà hoặc đôi khi có màu nâu nhạt hoặc đỏ. |
| Chảy máu bất thường | Hiếm khi xuất hiện chảy máu bất thường. | Chảy máu bất thường giữa chu kỳ hoặc sau quan hệ là dấu hiệu cảnh báo. |
| Đau vùng chậu | Có thể có cảm giác nhẹ hoặc không có đau đớn. | Đau vùng chậu kéo dài, có thể tăng lên trong kỳ kinh nguyệt. |
| Khí hư | Dịch tiết âm đạo có thể xuất hiện, nhưng không có mùi hôi hoặc mùi lạ. | Dịch tiết âm đạo có thể có mùi hôi, đặc biệt khi có nhiễm trùng kèm theo. |
| Triệu chứng đi kèm | Thường không có triệu chứng khác ngoài vết trắng. | Có thể kèm theo đau khi giao hợp, mệt mỏi, giảm cân hoặc sốt. |
| Khả năng lan rộng | Thường không phát triển hoặc lan rộng ra ngoài khu vực vết trắng. | Vết trắng có thể lan rộng và xâm nhập sâu vào các mô cổ tử cung. |
| Tiến triển theo thời gian | Không có sự thay đổi nhanh chóng và thường ổn định. | Có thể phát triển nhanh chóng và trở nên ác tính. |
Phòng ngừa vết trắng cổ tử cung
1. Tiêm vắc xin HPV
Tiêm vắc xin HPV được xem là giải pháp hiệu quả nhất nhằm phòng ngừa các bệnh lý và ung thư ác tính liên quan đến HPV, đặc biệt là ung thư cổ tử cung, ung thư hậu môn, ung thư hầu họng, âm hộ, âm đạo…. Vắc xin kích thích hệ miễn dịch tạo ra kháng thể đặc hiệu, giúp ngăn chặn sự xâm nhập của các chủng HPV nguy hiểm và phổ biến hàng đầu hiện nay, điển hình là HPV 16 và 18. Trong số các vắc xin hiện nay, Gardasil và Gardasil 9 được sử dụng phổ biến, với Gardasil 9 mở rộng phạm vi bảo vệ lên tới 9 chủng HPV khác nhau.
Các tổ chức y tế quốc tế khuyến cáo nên tiêm vắc xin HPV ở độ tuổi từ 9 đến 14 tuổi. Đây là giai đoạn hệ miễn dịch đạt khả năng đáp ứng tối ưu và trước khi có nguy cơ phơi nhiễm với virus qua đường tình dục. Tiêm ngừa đúng thời điểm giúp thiết lập hàng rào bảo vệ vững chắc cho sức khỏe sinh sản về lâu dài, đồng thời làm giảm tỷ lệ mắc các bệnh ung thư liên quan đến HPV trong cộng đồng.
Đối với người lớn từ 15 đến 45 tuổi, việc tiêm vắc xin HPV vẫn có giá trị bảo vệ, đặc biệt ở những người chưa nhiễm hoặc chỉ mới nhiễm một số chủng HPV. Hiệu quả ngừa bệnh sẽ cao hơn nếu tiêm trước khi có sự tiếp xúc rộng rãi với virus, tuy nhiên tiêm sau khi đã có phơi nhiễm vẫn giúp hạn chế nguy cơ mắc các bệnh do các chủng chưa nhiễm gây ra.
Quan trọng hơn, vắc xin HPV không chỉ dành riêng cho nữ giới. Nam giới tiêm vắc xin sẽ giảm thiểu nguy cơ mắc ung thư hậu môn, dương vật, hầu họng và góp phần làm giảm sự lây lan của HPV trong cộng đồng. Tiêm chủng đồng giới tính được xem là một phần thiết yếu trong chiến lược kiểm soát và tiến tới loại trừ các bệnh lý do HPV gây ra trên quy mô toàn cầu.
Tìm hiểu thông tin và Đăng ký tiêm vắc xin HPV

2. Tình dục an toàn
Sử dụng bao cao su trong mỗi lần quan hệ không chỉ giảm thiểu nguy cơ lây nhiễm các tác nhân gây bệnh, như vi khuẩn, nấm và virus, mà còn giúp bảo vệ cổ tử cung khỏi các viêm nhiễm, một trong những nguyên nhân chủ yếu gây ra vết trắng. Việc duy trì quan hệ tình dục lành mạnh và hạn chế thay đổi bạn tình cũng đóng vai trò quan trọng trong việc giảm thiểu nguy cơ mắc các bệnh phụ khoa.
3. Vệ sinh đúng cách
Việc giữ vùng kín luôn sạch sẽ giúp ngăn ngừa sự phát triển của vi khuẩn, nấm và các tác nhân gây bệnh. Hàng ngày, nên rửa vùng kín bằng nước sạch, tránh sử dụng xà phòng hay dung dịch có mùi thơm để không làm mất cân bằng độ pH tự nhiên. Sau khi quan hệ tình dục, việc vệ sinh ngay lập tức giúp giảm nguy cơ lây nhiễm vi khuẩn.
Ngoài ra, việc thay đồ lót sạch sẽ, thông thoáng và tránh thụt rửa âm đạo là những yếu tố quan trọng giúp duy trì sức khỏe vùng kín. Những thói quen này không chỉ giúp phòng ngừa vết trắng cổ tử cung, mà còn bảo vệ sức khỏe sinh sản, giảm nguy cơ viêm nhiễm và các bệnh lý phụ khoa nghiêm trọng.
4. Khám phụ khoa, tầm soát định kỳ
Khám phụ khoa và tầm soát định kỳ là phương pháp quan trọng giúp phát hiện sớm các vấn đề sức khỏe phụ khoa, bao gồm vết trắng cổ tử cung. Việc thăm khám định kỳ giúp bác sĩ phát hiện kịp thời các dấu hiệu bất thường, từ đó đưa ra phương án điều trị hiệu quả và phòng ngừa các bệnh lý nghiêm trọng như ung thư cổ tử cung.
Tùy thuộc vào độ tuổi và tình trạng sức khỏe, các xét nghiệm tầm soát như xét nghiệm Pap smear hoặc xét nghiệm HPV có thể được chỉ định để kiểm tra sự hiện diện của các tế bào bất thường hoặc virus gây bệnh. Việc khám phụ khoa định kỳ không chỉ giúp bảo vệ sức khỏe sinh sản, mà còn nâng cao nhận thức về các yếu tố nguy cơ, từ đó chủ động hơn trong việc phòng ngừa và điều trị bệnh.

5. Tăng cường hệ miễn dịch cơ thể
Một hệ miễn dịch khỏe mạnh giúp cơ thể chống lại các tác nhân gây bệnh như vi khuẩn, virus và nấm, từ đó giảm nguy cơ mắc các bệnh nhiễm trùng và viêm nhiễm phụ khoa. Để tăng cường hệ miễn dịch, cần duy trì chế độ ăn uống lành mạnh với đầy đủ dưỡng chất, đặc biệt là vitamin C, D và kẽm, những yếu tố quan trọng trong việc bảo vệ cơ thể khỏi các tác nhân gây bệnh.
Ngoài ra, việc duy trì lối sống lành mạnh, bao gồm tập thể dục đều đặn, ngủ đủ giấc, giảm căng thẳng và tránh thuốc lá, rượu bia sẽ giúp hệ miễn dịch hoạt động tối ưu. Tăng cường sức đề kháng không chỉ giúp phòng ngừa vết trắng cổ tử cung, mà còn bảo vệ sức khỏe toàn diện, giảm nguy cơ mắc các bệnh lý nghiêm trọng.
Chẩn đoán vết trắng cổ tử cung như thế nào?
Chẩn đoán được thực hiện qua một quá trình thăm khám và xét nghiệm cụ thể. Bước đầu tiên là kiểm tra lâm sàng, trong đó bác sĩ sẽ kiểm tra tình trạng cổ tử cung và khí hư của bệnh nhân. Tiếp theo, bác sĩ có thể chỉ định thực hiện các xét nghiệm cận lâm sàng như:
- Phết tế bào cổ tử cung (Pap smear): Giúp phát hiện sự hiện diện của tế bào bất thường hoặc dấu hiệu ung thư.
- Xét nghiệm vi sinh: Để xác định xem vết trắng có liên quan đến viêm nhiễm do vi khuẩn, nấm hoặc virus.
- Siêu âm vùng chậu: Giúp đánh giá tình trạng của cổ tử cung và các cơ quan xung quanh.
- Sinh thiết: Trong trường hợp nghi ngờ ung thư hoặc tổn thương nghiêm trọng, bác sĩ có thể lấy mẫu mô từ cổ tử cung để xét nghiệm tế bào.

Điều trị vết trắng cổ tử cung
Vết trắng cổ tử cung là một bất thường cần được đánh giá chính xác để lựa chọn phương pháp điều trị phù hợp. Cách điều trị sẽ khác nhau tùy theo bản chất lành tính hay ác tính của tổn thương.
1. Lành tính
Đối với vết trắng cổ tử cung lành tính, phương pháp điều trị chủ yếu nhằm loại bỏ nguyên nhân gây viêm hoặc tổn thương nhẹ. Nếu vết trắng là do viêm nhiễm, bác sĩ có thể chỉ định thuốc đặt âm đạo, thuốc uống kháng viêm hoặc kháng sinh nếu cần thiết.
Với các trường hợp viêm lộ tuyến cổ tử cung đi kèm vết trắng, các kỹ thuật can thiệp nhẹ nhàng như áp lạnh, đốt điện hoặc laser cổ tử cung có thể được cân nhắc. Theo dõi định kỳ bằng soi cổ tử cung hoặc xét nghiệm tế bào học (Pap smear) cũng rất cần thiết để đảm bảo không có sự tiến triển bất thường.
2. Ác tính
Đối với vết trắng cổ tử cung ác tính hoặc nghi ngờ tiền ung thư, việc điều trị cần can thiệp mạnh mẽ và kịp thời hơn. Bác sĩ có thể chỉ định sinh thiết để xác định mức độ tổn thương, từ đó quyết định kế hoạch điều trị phù hợp.
Nếu xác định là tổn thương tiền ung thư mức độ cao (CIN 2, CIN 3), các biện pháp như khoét chóp cổ tử cung (LEEP hoặc cold knife conization) sẽ được thực hiện để loại bỏ hoàn toàn vùng mô bất thường. Trong trường hợp đã tiến triển thành ung thư cổ tử cung, việc điều trị sẽ cần kết hợp phẫu thuật, xạ trị hoặc hóa trị tùy vào giai đoạn bệnh.
Điều quan trọng là người bệnh cần tuân thủ chặt chẽ hướng dẫn điều trị và tái khám đúng lịch hẹn. Việc phát hiện sớm và xử lý kịp thời không chỉ giúp bảo vệ sức khỏe sinh sản mà còn đóng vai trò then chốt trong phòng ngừa ung thư cổ tử cung hiệu quả.
Câu hỏi thường gặp
1. Vết trắng cổ tử cung có quan hệ được không?
Khi bị vết trắng cổ tử cung, việc quan hệ tình dục có thể không an toàn, đặc biệt nếu nguyên nhân gây vết trắng là viêm nhiễm hoặc các bệnh lý khác. Quan hệ tình dục có thể làm tình trạng viêm nhiễm trở nên trầm trọng hơn, gây đau đớn, khó chịu hoặc tăng nguy cơ lây lan bệnh.
Nếu vết trắng là dấu hiệu của các bệnh lý nghiêm trọng như ung thư cổ tử cung, quan hệ tình dục có thể gây tổn thương thêm cho vùng cổ tử cung. Vì vậy, phụ nữ gặp tình trạng này nên tham khảo ý kiến bác sĩ trước khi quan hệ để đảm bảo an toàn cho sức khỏe sinh sản.

2. Vết trắng cổ tử cung có tự hết không?
Vết trắng cổ tử cung không phải lúc nào cũng tự hết. Nếu nguyên nhân là viêm nhiễm hoặc các vấn đề phụ khoa nhẹ, tình trạng có thể cải thiện sau khi điều trị đúng cách. Tuy nhiên, nếu vết trắng là dấu hiệu của các bệnh lý nghiêm trọng như rối loạn tế bào hoặc ung thư cổ tử cung, tình trạng này không thể tự khỏi mà cần can thiệp y tế kịp thời. Do đó, khi phát hiện, phụ nữ nên thăm khám để xác định chính xác nguyên nhân và có phương pháp điều trị phù hợp.
Tóm lại, vết trắng cổ tử cung là một dấu hiệu cần được quan tâm, vì nó có thể chỉ ra các bệnh lý phụ khoa khác nhau, từ viêm nhiễm đến các rối loạn tế bào nghiêm trọng như ung thư cổ tử cung. Việc phát hiện và chẩn đoán chính xác nguyên nhân của hiện tượng này là rất quan trọng để có phương án điều trị kịp thời và hiệu quả. Do đó, phụ nữ khi gặp phải tình trạng này nên chủ động thăm khám y tế để đảm bảo sức khỏe sinh sản và phòng ngừa các nguy cơ tiềm ẩn.








