Hướng dẫn đọc hình ảnh chẩn đoán X quang viêm phế quản

Quản lý Y khoa
Hệ thống Tiêm chủng VNVC

10:29 19/11/2025
Viêm phế quản là một trong những bệnh lý hô hấp phổ biến, gây ra tình trạng ho kéo dài, khó thở và mệt mỏi do đường dẫn khí bị viêm. Trong chẩn đoán bệnh, chụp X quang viêm phế quản là phương pháp hình ảnh quan trọng giúp bác sĩ quan sát rõ cấu trúc phổi, phế quản và nhận diện các bất thường liên quan. Vậy cần lưu ý điều gì khi chụp X quang để có kết quả tốt nhất?

|
Bác sĩ Nguyễn Văn Mác Toàn - Quản lý Y khoa vùng 1 khu vực miền Trung - Tây Nguyên, Hệ thống Trung tâm tiêm chủng VNVC chia sẻ: “Viêm phế quản cấp là 1 trong 10 bệnh điều trị ngoại trú phổ biến nhất tại Hoa Kỳ, ảnh hưởng tới khoảng 5% người trưởng thành mỗi năm. Theo ghi nhận, các tác nhân gây bệnh thường tăng cao trong những tháng mùa đông, làm tăng tỷ lệ lây nhiễm và mắc bệnh trong cộng đồng”. (1) |
Vì sao cần phải chụp X quang viêm phế quản?
Chẩn đoán viêm phế quản chủ yếu dựa vào các triệu chứng lâm sàng và bệnh sử của người bệnh. Tuy nhiên, X quang lồng ngực thường được chỉ định không phải để khẳng định viêm phế quản mà là để loại trừ các nguyên nhân nghiêm trọng hơn gây ra triệu chứng tương tự, đặc biệt là viêm phổi. Hình ảnh X quang giúp cung cấp cái nhìn tổng quan về cấu trúc phổi và các cơ quan lân cận trong lồng ngực, từ đó hỗ trợ quyết định lâm sàng quan trọng.
Các lý do chính khiến kỹ thuật này được sử dụng bao gồm:
- Loại trừ các bệnh lý nghiêm trọng: Ho kéo dài, sốt, khó thở, tức ngực là những triệu chứng chung của nhiều bệnh lý hô hấp. X quang giúp bác sĩ nhanh chóng loại trừ các bệnh lý nguy hiểm như viêm phổi, ung thư phổi hoặc các tổn thương phổi khác, giúp bác sĩ có chỉ định chính xác cho từng bệnh nhân.
- Đánh giá mức độ tổn thương: Chụp X quang là một công cụ quan trọng để chẩn đoán viêm phế quản. Phương pháp này cho thấy các dấu hiệu viêm hoặc nhiễm trùng ở phổi, giúp bác sĩ đưa ra chẩn đoán chính xác về tình trạng bệnh và điều trị phù hợp. Chụp X quang cũng được sử dụng để xác định mức độ nghiêm trọng của viêm phế quản và theo dõi tiến triển của quá trình điều trị. (2)
Trường hợp nào bác sĩ sẽ chỉ định chụp X quang viêm phế quản?
Mặc dù không phải là xét nghiệm thường quy cho mọi trường hợp viêm phế quản cấp tính nhẹ, X quang lồng ngực sẽ được cân nhắc chỉ định khi có những dấu hiệu cảnh báo hoặc nhu cầu chẩn đoán phân biệt rõ ràng.
1. Có triệu chứng trở nặng
Chụp X quang lồng ngực được khuyến nghị nếu người bệnh có các dấu hiệu cho thấy bệnh đang tiến triển nghiêm trọng hoặc có khả năng đã biến chứng thành viêm phổi như:
- Sốt kèm các dấu hiệu nhiễm trùng khác;
- Đau ngực;
- Khó thở;
- Ho kéo dài… (3)

2. Cần chẩn đoán phân biệt với các bệnh lý hô hấp khác
Khi triệu chứng không điển hình, X quang được dùng để phân biệt với: viêm phổi, hen suyễn, phản ứng dị ứng, bệnh phổi tắc nghẽn mạn tính (COPD), suy tim, ung thư phổi… Việc phân biệt có ý nghĩa quyết định trong lựa chọn điều trị
3. Theo dõi nhóm đối tượng có nguy cơ biến chứng cao
Những bệnh nhân thuộc nhóm nguy cơ cao, như người cao tuổi, trẻ em hoặc người có bệnh nền (bệnh phổi tắc nghẽn mạn tính, huy suyễn, suy tim), người suy giảm miễn dịch, người hút thuốc lá lâu năm, cần được theo dõi chặt chẽ. X quang viêm phế quản được chỉ định để đánh giá nguy cơ biến chứng như tắc nghẽn đường thở, nhiễm trùng lan rộng hoặc tổn thương mô phổi. Phương pháp này hỗ trợ bác sĩ đưa ra quyết định điều trị kịp thời, tránh các hậu quả nghiêm trọng.
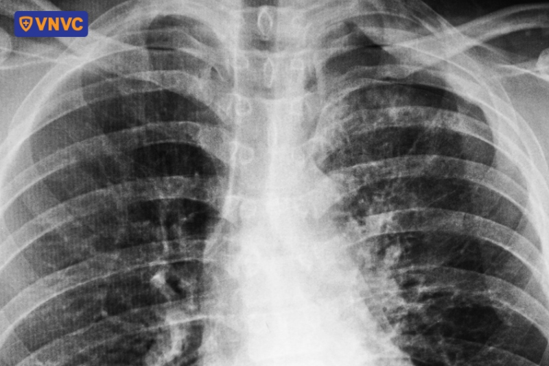
Hướng dẫn đọc chẩn đoán qua hình ảnh X quang viêm phế quản
Đọc hình ảnh X quang viêm phế quản đòi hỏi sự hiểu biết về các đặc điểm hình ảnh đặc trưng của từng loại viêm phế quản, cụ thể như sau:
1. Hình ảnh chẩn đoán viêm phế quản cấp
Viêm phế quản cấp thường gây ra bởi virus hoặc vi khuẩn, dẫn đến viêm niêm mạc phế quản mà không gây tổn thương nhu mô phổi. Do đó, trong viêm phế quản cấp, X quang thường bình thường hoặc chỉ có những thay đổi nhẹ, không có tổn thương đông đặc điển hình.
Hình ảnh chụp X quang viêm phế quản cấp tính giúp bác sĩ có thể loại trừ viêm phổi hoặc phân biệt với các bệnh lý lao phổi, phù phổi hoặc bệnh phổi tắc nghẽn mạn tính (COPD). Ngoài ra, bác sĩ cũng có thể đánh giá biến chứng bội nhiễm hoặc tiến triển của bệnh để có hướng điều trị kịp thời.
2. Ảnh chẩn đoán viêm phế quản mạn
Viêm phế quản mạn là tình trạng viêm kéo dài, thường liên quan đến hút thuốc lá hoặc tiếp xúc lâu dài với các yếu tố gây kích ứng. Trên X quang, các dấu hiệu bao gồm:
- Dày thành phế quản rõ rệt: Thành phế quản dày hơn so với viêm phế quản cấp, cho thấy tình trạng viêm kéo dài
- Tăng đậm vân phổi: Vân phổi dày hơn do tăng tiết nhầy.
- Hình ảnh khí phế thũng: Ở một số bệnh nhân, có thể thấy dấu hiệu khí phế thũng hoặc phổi bị căng phồng.
- Bóng tim to: Đặc biệt là thất phải, có thể kèm theo dấu hiệu sung huyết phổi hoặc tràn dịch màng phổi.

3. Hình X quang viêm tiểu phế quản
Viêm tiểu phế quản thường gặp ở trẻ em, đặc biệt là trẻ dưới 1 tuổi và thường do virus hợp bào hô hấp (RSV) gây ra. Trên X quang, các dấu hiệu viêm tiểu phế quản thường được biểu hiện mờ các tiểu phế quản, đôi khi xẹp cục bộ hoặc toàn bộ phân thùy do bít tắc cùng các bùng ứ khí đặc trưng bởi tình trạng tăng sáng.
Các phương pháp chẩn đoán khác bên cạnh X quang
Mặc dù X quang là công cụ sàng lọc quan trọng, chẩn đoán xác định viêm phế quản và các bệnh lý hô hấp thường yêu cầu kết hợp nhiều phương pháp khác nhau.
1. Khám lâm sàng và khai thác bệnh sử
Khám lâm sàng là bước đầu tiên và quan trọng trong chẩn đoán viêm phế quản. Bác sĩ sẽ hỏi về tiền sử ho, thời gian kéo dài, tính chất đờm và các yếu tố nguy cơ như hút thuốc hoặc tiếp xúc với khói bụi. Nghe phổi bằng ống nghe có thể phát hiện tiếng ran hoặc tiếng thở khò khè, hỗ trợ định hướng chẩn đoán.
2. Xét nghiệm công thức máu
- Công thức máu giúp phát hiện bạch cầu tăng trong nhiễm khuẩn.
- CRP/ESR: xét nghiệm nhằm đánh giá mức độ viêm.
3. Đo chức năng hô hấp (Hô hấp ký)
Hô hấp ký đo lưu lượng và thể tích khí thở ra, giúp đánh giá mức độ tắc nghẽn đường thở. Phương pháp này đặc biệt hữu ích trong chẩn đoán viêm phế quản mạn hoặc phân biệt với các bệnh lý như hen phế quản hoặc COPD.
4. Chụp cắt lớp vi tính (CT Scan) lồng ngực
CT scan (hay còn gọi là chụp CT) cung cấp hình ảnh chi tiết hơn so với X quang, đặc biệt trong các trường hợp phức tạp. CT có thể phát hiện các tổn thương hoặc các bất thường khác mà X quang không thấy rõ. Tuy nhiên, do chi phí cao và liều tia X cao hơn, CT thường chỉ được chỉ định khi X quang không đủ để chẩn đoán.
Những điều cần lưu ý trước và sau khi chụp X quang viêm phế quản
Chụp X quang là một thủ thuật đơn giản nhưng cần được thực hiện đúng cách để đảm bảo kết quả chính xác và an toàn cho bệnh nhân.
1. Cần chuẩn bị gì trước khi chụp?
- Thông báo tình trạng thai nghén: Đây là lưu ý quan trọng nhất. Phụ nữ đang mang thai hoặc nghi ngờ có thai cần thông báo ngay cho bác sĩ hoặc kỹ thuật viên để cân nhắc lợi ích/nguy cơ hoặc sử dụng phương pháp chẩn đoán thay thế.
- Tháo bỏ vật dụng kim loại: Người bệnh cần tháo bỏ trang sức, đồng hồ, khuy áo kim loại hoặc bất kỳ vật dụng nào bằng kim loại (bao gồm cả áo ngực có gọng kim loại) khỏi vùng ngực và cổ để tránh tạo ra bóng cản quang làm ảnh hưởng đến chất lượng hình ảnh
- Mặc quần áo rộng rãi, thoải mái: Để dễ dàng thay trang phục chuyên dụng hoặc thực hiện tư thế chụp.
2. Quy trình chụp X quang diễn ra như thế nào?
Quy trình chụp X quang lồng ngực thường rất nhanh chóng, chỉ mất vài phút:
- Định vị: Người bệnh được yêu cầu đứng, ngồi hoặc nằm, tùy thuộc vào tư thế chụp (thường là chụp thẳng và chụp nghiêng).
- Giữ tư thế: Kỹ thuật viên sẽ căn chỉnh tư thế để đảm bảo vùng lồng ngực nằm chính xác trong khu vực tia X.
- Nín thở: Người bệnh được yêu cầu hít một hơi thật sâu và nín thở trong vài giây trong khi máy phát tia X hoạt động. Việc nín thở giúp phổi căng tối đa, làm cho các cấu trúc trở nên rõ ràng hơn và loại bỏ nhòe do cử động.
- Hoàn tất: Sau khi chụp, người bệnh có thể mặc lại quần áo và chờ kết quả.
3. Chụp X quang có an toàn không?
Chụp X quang sử dụng một lượng nhỏ tia X, được coi là an toàn với hầu hết bệnh nhân. Liều tia X trong một lần chụp ngực rất thấp, ít gây nguy cơ cho sức khỏe. Tuy nhiên, phụ nữ mang thai cần thận trọng và thông báo với bác sĩ để cân nhắc các phương pháp chẩn đoán thay thế.

Chụp X quang viêm phế quản là một phần quan trọng trong chẩn đoán và theo dõi các trường hợp nghi ngờ hoặc có nguy cơ cao bị biến chứng. Mặc dù ở nhiều trường hợp viêm phế quản phim X quang có thể bình thường, nhưng nó vẫn giúp loại trừ các bệnh lý nghiêm trọng và hỗ trợ đánh giá ảnh hưởng đến phế quản - đặc biệt trong viêm phế quản mạn hoặc tái phát.
- Singh, A., Akshay Avula, & Zahn, E. (2024, March 9). Acute Bronchitis. Nih.gov; StatPearls Publishing. https://www.ncbi.nlm.nih.gov/books/NBK448067/
- Yildiz, T., & Seyhan Dulger. (2017). Non-astmatic Eosinophilic Bronchitis. Turkish Thoracic Journal, 19(1), 41–45. https://doi.org/10.5152/turkthoracj.2017.17017
- Clinic, C. (2017, January 17). A chest X-ray uses radiation to create an image of your heart, lungs and bones. A chest X-ray can diagnose health conditions like pneumonia or COPD. Cleveland Clinic. https://my.clevelandclinic.org/health/diagnostics/10228-chest-x-ray







