Phân biệt zona và herpes: 13 đặc điểm giúp phân loại chính xác

Quản lý Y khoa
Hệ thống Tiêm chủng VNVC

21:33 21/12/2024
Bệnh zona thần kinh và Herpes đều biểu hiện đặc trưng bởi các nốt phát ban đỏ, mụn nước, phồng rộp chứa dịch ở trên da, gây khó khăn trong việc nhận biết, chẩn đoán, dẫn đến nhầm lẫn trong phương thức xử trí và điều trị. Vậy đâu là đặc điểm giúp phân loại chính xác bệnh zona và herpes? Cùng chuyên gia VNVC tìm hiểu chi tiết trong bài viết dưới đây!
| BS.CKI Nguyễn Công Luận, Quản lý Y khoa khu vực 2 Đông Nam Bộ, Hệ thống Trung tâm tiêm chủng VNVC cho biết: “ Theo ước tính, cứ 1.000 người thì sẽ có 3 - 5 người mắc bệnh zona thần kinh mỗi năm (1), đặc biệt là những người cao tuổi và chưa tiêm vắc xin phòng ngừa chiếm 50% khả năng mắc bệnh. Mặt khác, bệnh herpes gây ra khoảng 3,8 tỷ ca nhiễm ở người dưới 50 tuổi do virus Herpes Simplex tuýp 1 và khoảng 519,5 triệu ca ở người từ 15 - 49 tuổi trên toàn thế giới do virus Herpes Simplex tuýp 2 (2). Cả hai bệnh zona thần kinh và herpes đều biểu hiện chính bởi các nốt ban, mụn nước hoặc loét gây đau đớn, nhưng thực chất do 2 loại virus khác nhau gây bệnh và tồn tại những đặc trưng bệnh lý riêng biệt.” |

Bệnh zona và herpes giống hay khác nhau?
Bệnh zona thần kinh và herpes là hai bệnh hoàn toàn khác nhau, do các loại virus khác nhau gây ra. Bởi một số biểu hiện đặc trưng cấp tính trên da có phần giống nhau mà hai bệnh này thường bị nhầm lẫn là giống nhau, dẫn đến sai lệch trong hướng xử trí và điều trị bệnh, khiến bệnh tình lâu hồi phục và nguy cơ làm bệnh tình tệ đi.
1. Bệnh zona thần kinh
Bệnh zona thần kinh là bệnh nhiễm trùng liên quan đến biểu hiện phát ban đau đớn ở một bên cơ thể, gây ra bởi sự tái hoạt động của virus Varicella Zoster (VZV) hay còn gọi là virus Herpes Zoster - đây là loại virus gây ra bệnh thủy đậu trong lần nhiễm đầu tiên.
Sau khi hồi phục bệnh thủy đậu, VZV sẽ không bị đào thải mà trú ngụ tiềm ẩn trong hạch rễ dây thần kinh trong nhiều tháng, thậm chí nhiều năm, đợi đến khi hệ miễn dịch của cơ thể người bệnh bị suy yếu, có dấu hiệu suy nhược cả về thể chất và tinh thần, lúc này VZV sẽ hoạt động trở lại, gây bệnh zona thần kinh.
Virus gây bệnh zona thần kinh sẽ sinh sôi và lây truyền dọc theo các dây thần kinh, gây ra tổn thương da xung quanh vùng mà chúng hoạt động. Bệnh có thể lây truyền sang người khỏe mạnh chưa từng mắc bệnh thủy đậu hoặc chưa tiêm vắc xin phòng bệnh, thông qua việc tiếp xúc trực tiếp với chất dịch từ mụn nước cơ thể người bệnh, gây ra nguy cơ mắc thủy đậu trước và tiềm ẩn nguy cơ mắc bệnh zona thần kinh trong tương lai.
Bệnh zona thần kinh sẽ không còn khả năng lây nhiễm khi các mụn nước bắt đầu khô lại, đóng vảy và lành lại. Tùy theo mức độ nghiêm trọng mà thời gian mắc bệnh và hồi phục sẽ khác nhau, trung bình có thể kéo dài trong 2 - 4 tuần (3), và lâu hơn tùy thuộc vào thể trạng, miễn dịch và mức độ nghiêm trọng của các triệu chứng ở người bệnh.

2. Bệnh Herpes
Bệnh Herpes là bệnh nhiễm trùng cấp tính gây ra bởi virus Herpes Simplex, biểu hiện đặc trưng các mụn nước hoặc các vết loét đau đớn ở vùng miệng, chủ yếu lây lan qua tiếp xúc da kề da, có thể điều trị được nhưng virus Herpes không thể bị loại bỏ hoàn toàn ở cơ thể người..
Virus Herpes Simplex có 2 loại phổ biến, bao gồm:
- Loại virus Herpes Simplex tuýp 1 (HSV-1): Chủ yếu lây qua tiếp xúc bằng miệng và gây nhiễm trùng trong hoặc xung quanh miệng (Herpes miệng hoặc mụn rộp), hầu hết gây bệnh ở người lớn tuổi. Triệu chứng phổ biến là các vết sưng, mụn nước hoặc vết loét hở trong hoặc xung quanh miệng, môi. Ngoài ra, HSV-1 cũng có thể gây ra Herpes sinh dục;
- Loại virus Herpes Simplex tuýp 2 (HSV-2): Lây lan chủ yếu qua đường tình dục và gây bệnh herpes sinh dục. Biểu hiện bởi các vết sưng, mụn nước hoặc vết loét xung quanh bộ phận sinh dục hoặc hậu môn.
Theo Tổ chức Y tế Thế giới (WHO), hầu hết các trường hợp, người nhiễm virus Herpes Simplex không biểu hiện triệu chứng hoặc chỉ có triệu chứng nhẹ. Nhiều người không biết bản thân bị nhiễm trùng và có thể vô tình lây truyền virus cho người khác.
Các triệu chứng có thể bùng phát khi nhiễm HSV bao gồm mụn nước hoặc vết loét, cảm giác ngứa ran, nóng rát, gây sốt, đau nhức cơ thể và sưng hạch bạch huyết. Ở đợt bùng phát bệnh đầu tiên, người bệnh thường gặp phải các triệu chứng như sốt, đau nhức cơ thể, đau họng (herpes ở miệng), đau đầu, hạch bạch huyết sưng gần vùng bị nhiễm trùng. Bệnh herpes có thể tái phát nhiều lần theo thời gian, những đợt này thường ngắn hơn và ít nghiêm trọng hơn so với đợt bùng phát đầu tiên.

Cách phân biệt zona và herpes
Mặc dù bệnh zona và herpes có nhiều đặc điểm da liễu giống nhau dễ gây nhầm lẫn, nhưng hai bệnh này cũng có một số điểm đặc trưng khác nhau nhất định, có thể dùng để phân biệt một cách hiệu quả.
Tham khảo bảng so sánh sự giống nhau và khác nhau giữa zona thần kinh và herpes dưới đây:
| Zona thần kinh | Herpes | |
| Giống nhau |
|
|
| Tác nhân gây bệnh | Tái hoạt động của virus Varicella Zoster hay còn gọi là virus Herpes Zoster. | Do virus Herpes Simplex gây bệnh. Có 2 loại gồm: Virus Herpes Simplex tuýp 1 và virus Herpes Simplex tuýp 2. |
| Nguyên nhân gây bệnh | Do người đã từng mắc bệnh thủy đậu từ trước, có hệ thống miễn dịch bắt đầu suy yếu, tuổi cao, phản ứng kháng thể với virus giảm dần, khiến VZV tái hoạt động gây bệnh. | Do nhiễm phải virus Herpes Simplex từ người bệnh hoặc môi trường bên ngoài. |
| Đối tượng nguy cơ |
|
Trẻ em, thanh thiếu niên, người trẻ tuổi và nguy cơ tái hoạt động giảm dần khi càng lớn tuổi. |
| Vị trí ảnh hưởng |
|
Một số bộ phận nhất định của cơ thể, gồm bộ phận sinh dục, mông, vùng trực tràng, đùi, trong hoặc quanh vùng miệng. |
| Sự lây nhiễm | Không phải bệnh truyền nhiễm. Nhưng có khả năng lây bệnh cho người khỏe mạnh chưa từng bị thủy đậu hay tiêm phòng vắc xin qua tiếp xúc trực tiếp với chất dịch từ mụn nước. | Rất dễ lây nhiễm, lây truyền qua tiếp xúc trực tiếp với vết loét, nước bọt, dịch sinh dục hoặc tiếp xúc da với bạn tình bị bệnh herpes miệng hoặc herpes sinh dục (kể cả khi vết loét không nhìn thấy được). |
| Triệu chứng phổ biến |
|
|
| Chẩn đoán |
|
|
| Biến chứng phổ biến | - Nguy cơ biến chứng cao, phổ biến nhất là đau sau zona thần kinh.
- Tùy vào vị trí bùng phát mụn nước, có thể gây biến chứng nghiêm trọng, gồm:
|
- Nguy cơ mắc bệnh xơ vữa động mạch, gây ra biến chứng đau tim và đột quỵ.
- Nhiễm trùng mắt, gây bệnh sừng hóa mắt. - Nguy cơ tiềm ẩn khác:
|
| Thời gian mắc bệnh | Thường kéo dài trong 2 - 4 tuần, các mụn nước liên quan có xu hướng biến mất trong vòng 7 - 10 ngày. | Các mụn nước thường xuất hiện trong khoảng 2 - 10 ngày sau khi nhiễm trùng và có thể biến mất 10 - 19 ngày trong lần bùng phát herpes miệng.
Tuy nhiên, các mụn nước thường chỉ mất 5 - 10 ngày để đóng vảy và lành lại trong đợt tái phát. |
| Nguy cơ tái phát |
|
|
| Điều trị |
|
|
| Điều trị triệu chứng đau, ngứa |
|
|
| Phòng ngừa |
|
|
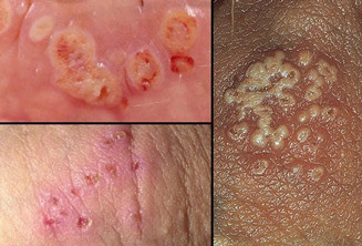
Hình ảnh phân biệt herpes và zona qua từng giai đoạn
| Zona thần kinh | Herpes | |
| Giai đoạn nguyên phát/ tiền triệu |
![]()
|
|
| Giai đoạn bùng phát cấp tính |
![]() ![]()
|
|
| Giai đoạn mãn tính/ tái hoạt động |
![]()
|
![]()
|
⇒ Tham khảo thêm: Phân biệt zona và thủy đậu: Cách nhận biết chính xác qua hình ảnh
Cách điều trị và phòng ngừa bệnh zona và herpes
Bệnh zona và herpes đều ảnh hưởng chủ yếu lên da và gây ra các cơn đau nhức, ngứa ngáy, khó chịu... chưa có thuốc điều trị đặc hiệu nên cách điều trị thường tập trung vào việc làm thuyên giảm triệu chứng, cụ thể như sau:
1. Điều trị
Đối với bệnh zona thần kinh
Trong trường hợp xuất hiện các dấu hiệu nổi các nốt ban đỏ cùng các cơn ngứa ran, đau nhức, nghi ngờ mắc bệnh zona thần kinh, cần đến ngay các cơ sở y tế để được chẩn đoán, can thiệp kịp thời và chỉ định điều trị đúng cách. Nguyên tắc chung khi điều trị bệnh zona thần kinh là phát hiện sớm và điều trị kháng virus càng sớm càng hiệu quả.
Các loại thuốc kháng virus có thể được chỉ định trong điều trị bệnh zona thần kinh như Acyclovir, Valacyclovir và Famciclovir, tùy thuộc vào độ tuổi của từng người bệnh. Thuốc kháng virus có khả năng thu ngắn thời gian mắc bệnh và giảm mức độ nghiêm trọng cũng như lây lan của bệnh.
Các loại thuốc giảm đau kê đơn hoặc không kê đơn cũng có khả năng làm giảm đau do bệnh zona thần kinh hiệu quả. Ngoài ra người bệnh có thể kết hợp các biện pháp khác như dùng kem dưỡng da calamine, tắm yến mạch, chườm ướt để thuyên giảm triệu chứng ngứa ngáy, khó chịu.
⇒ Tham khảo thêm: Bị zona bôi thuốc gì nhanh khỏi? Thoa kem gì tốt không để sẹo?
Bên cạnh đó, người bệnh có thể rút ngắn thời gian mắc bệnh và nguy cơ biến chứng do zona thần kinh hiệu quả bằng việc thực hiện chế độ dinh dưỡng lành mạnh, khoa học như tiêu thụ nhiều thực phẩm giàu vitamin C (trái cây, rau xanh...) bổ sung vitamin B6 và B12 và bù đủ nước cho cơ thể. Đồng thời cần tránh các loại thực phẩm như đồ ăn nhiều dầu mỡ, đồ uống có cồn, ngũ cốc tinh chế, các sản phẩm được làm từ chocolate... Ngoài ra, người bệnh zona cần
Đối với bệnh Herpes
Thuốc thường được dùng để điều trị các đợt bệnh herpes đầu tiên hoặc tái phát, hỗ trợ làm giảm thời gian kéo dài các triệu chứng và mức độ nghiêm trọng của bệnh, tuy nhiên virus Herpes không thể bị loại bỏ hoàn toàn ở cơ thể người. Các chuyên gia y tế cho biết, việc điều trị các đợt tái phát sẽ hiệu quả nhất khi bắt đầu trong vòng 48 giờ kể từ khi triệu chứng xuất hiện.
Các loại thuốc kháng virus thường được sử dụng bao gồm acyclovir, famciclovir và valacyclovir, được khuyến nghị cho những người bị đau đớn dữ dội hoặc tái phát thường xuyên, hỗ trợ giảm nguy cơ lây bệnh cho người bệnh. Các loại thuốc giảm đau từ các vết loét hở khác như paracetamol (acetaminophen), naproxen hoặc ibuprofen và các loại thuốc làm tê vùng bị ảnh hưởng bao gồm benzocaine và lidocaine.
Đối với người bệnh herpes miệng, có thể sử dụng các biện pháp hỗ trợ như uống đồ uống lạnh hoặc ăn kem, sử dụng thuốc không kê đơn. Đối với người bệnh herpes sinh dục, có thể thực hiện biện pháp ngồi trong bồn tắm nước ấm trong 20 phút (không có xà phòng), mặc quần áo rộng rãi và sử dụng thuốc giảm đau không kê đơn.
2. Phòng ngừa
Phương pháp phòng ngừa bệnh zona thần kinh hiệu quả nhất, chính là tiêm vắc xin phòng ngừa. Đối với người chưa bị thủy đậu và chưa tiêm vắc xin phòng ngừa, cần khẩn trương tiêm đủ mũi, đúng lịch vắc xin thủy đậu, để giảm nguy cơ mắc bệnh zona thần kinh. Hiện vắc xin thủy đậu tại Việt Nam có 3 loại bao gồm: Varilrix (Bỉ), Varivax (Mỹ) và Varicella (Hàn Quốc).
Trong đó, vắc xin Varilrix (Bỉ) được chỉ định tiêm cho trẻ từ 9 tháng tuổi và người lớn; Vắc xin Varivax (Mỹ) và Varicella (Hàn Quốc) được chỉ định tiêm cho trẻ từ 12 tháng tuổi và người lớn. Phác đồ tiêm vắc xin thủy đậu từ bao gồm 3 mũi, cách nhau ít nhất 1 - 3 tháng.
Bên cạnh đó, cần duy trì chế độ dinh dưỡng và sinh hoạt lành mạnh để hạn chế nguy cơ mắc bệnh zona thần kinh, bao gồm:
- Vệ sinh cá nhân và môi trường xung quanh sạch sẽ;
- Hạn chế căng thẳng, stress kéo dài;
- Ăn đủ bữa, đủ chất, ngủ đủ và ngon giấc;
- Tránh sử dụng chất kích thích, hút thuốc;
- Không tiếp xúc với người mắc bệnh hoặc nghi mắc bệnh zona thần kinh;
- Luyện tập thể dục, thể thao nâng cao thể chất
Đối với bệnh Herpes, cách phòng ngừa hiệu quả nhất là hạn chế để bản thân rơi vào nguy cơ có thể tiếp xúc với virus gây bệnh thông qua các cách sau:
- Thực hiện an toàn quan hệ tình dục: Sử dụng bao cao su, không quan hệ bừa bãi, chung thủy với một bạn tình, không quan hệ với bạn tình có vết loét ở bộ phận sinh dục, không quan hệ bằng miệng với người đang bị mụn rộp;
- Hạn tiếp xúc với tia cực tím của ánh nắng mặt trời;
- Hạn chế dùng chung đồ dùng cá nhân với người khác.
Zona và herpes là hai bệnh thường bị nhầm lẫn bởi các biểu hiện da liễu tương tự nhau, nhưng thực chất hai bệnh này do 2 loại virus khác nhau gây bệnh, với mức độ tổn thương và đặc tính phát bệnh khác nhau. Việc phân biệt rõ ràng hai loại bệnh này hỗ trợ quá trình can thiệp, xử trí được diễn ra kịp thời, tránh nguy cơ bệnh trở nặng, gây biến chứng nghiêm trọng, kéo dài thời gian hồi phục.
- Shingles Overview: Types, Causes, Symptoms, and Treatment | Pfizer. (2016). Pfizer.com. https://www.pfizer.com/disease-and-conditions/shingles
- World. (2024, December 11). Herpes simplex virus. World Health Organization: WHO. https://www.who.int/news-room/fact-sheets/detail/herpes-simplex-virus
- Armstrong, D., Dregan, A., Ashworth, M., & White, P. (2022). Shingles Vs. Herpes: Symptoms, Causes, And Treatment. HealthMatch – easily find the right clinical trial. https://healthmatch.io/shingles/shingles-vs-herpes























