Hiện tượng rốn phổi đậm thể hiện nguy cơ ra sao?

Bác sĩ Hệ thống Tiêm chủng VNVC

16:45 06/02/2026
Đánh giá rốn phổi đậm là một thách thức lâm sàng, vì đây là vùng có cấu trúc giải phẫu phức tạp, nơi hội tụ động mạch, tĩnh mạch, phế quản, màng phổi, màng ngoài tim và dây thần kinh, khiến việc xác định vị trí tổn thương trở nên khó khăn.
Bài viết được tư vấn chuyên khoa bởi BS Bùi Thanh Phong, Bác sĩ Hệ thống Tiêm chủng VNVC.

Hiện tượng rốn phổi đậm là gì?
Rốn phổi đậm là hiện tượng vùng rốn ở phổi xuất hiện rõ, dày hoặc đậm hơn bình thường. Tình trạng này có thể xuất hiện do khối u hoặc vôi hóa tại rốn phổi. Tuy nhiên, nếu không có tình trạng phình to hay vôi hóa, hình ảnh này có thể là dấu hiệu của một vùng tổn thương bất thường ở phổi hoặc trung thất bị chồng lấp và chiếu lên vị trí rốn phổi trên phim X-quang thẳng. (1)
Rốn phổi là vùng lõm hình tam giác lớn trên phổi, nằm ngay phía trên trung tâm bề mặt trung thất và phía sau vết lõm của mỗi phổi, gần bờ sau hơn bờ trước. Thông thường, lồng ngực được ngăn cách với phổi bởi một lớp màng hai lớp gọi là màng phổi. Rốn phổi là nơi kết nối giữa màng phổi thành (bao phủ lồng ngực) và màng phổi tạng (bao phủ phổi), đánh dấu điểm gặp nhau giữa trung thất và khoang màng phổi.
Trong các hình chụp X-quang ngực ở người bình thường, rốn phổi sẽ hiện lên như một bóng mờ vừa phải (đậm ở trung tâm và tối dần về các rìa). Trong trường hợp rốn đậm hơn bình thường, thể hiện các cấu trúc tại đây dày lên hoặc tăng mật độ, biểu hiện vấn đề sinh lý hoặc mắc bệnh lý nào đó. (2)

Các nguyên nhân gây ra tình trạng rốn phổi đậm
Có nhiều nguyên nhân gây tăng độ đậm ở rốn phổi, bao gồm các bệnh lý mạch máu, phế quản hoặc nhu mô phổi, cụ thể như sau:
1. Nguyên nhân sinh lý và lành tính
Trên phim chụp X-quang, vùng rốn phổi bình thường thể hiện độ đậm của các động mạch phổi, tĩnh mạch phổi và phế quản chính, tương đối cân đối hai bệnh. Nếu rốn phổi ở một bên trông “đậm” hơn bình thường, đó có thể phản ánh sự thay đổi về cấu trúc hoặc lưu lượng mạch máu tại vùng này.
2. Nguyên nhân liên quan đến các bệnh lý khác
Tình trạng rốn phổi đậm trên phim X-quang ngực có thể phản ánh sự tăng kích thước hoặc đậm độ của các cấu trúc ở vùng rốn phổi, bao gồm động mạch phổi, tĩnh mạch phổi và hệ thống hạch bạch huyết. Một trong những nguyên nhân chính là tăng áp động mạch phổi, trong đó áp lực trong các động mạch phổi tăng lên gây giãn và dày thành mạch, dẫn đến hai rốn phổi trông to và đậm hơn bình thường trên X-quang.
Bệnh Sarcoidosis (hay còn gọi là bệnh u hạt) do các u hạt nhỏ gây viêm trong phổi, có thể biểu hiện phì đại cân xứng của hạch bạch huyết quanh vùng rốn phổi và trung thất, tạo nên bóng đậm hai bên rốn phổi rõ rệt. Ngoài ra, phì đại hạch bạch huyết cũng có thể do nhiễm trùng (lao, nấm) hoặc các bệnh toàn thân khác gây ra, làm tăng kích thước và đậm độ rốn. (3)
3. Nguyên nhân ác tính
Theo chuyên gia y tế, biểu hiện thường gặp nhất của khối u vùng rốn phổi là sự tăng đậm độ ở vùng rốn phổi. Do đó, hiện tượng rốn phổi đậm có thể đến từ nguyên nhân mắc bệnh lý ác tính, chủ yếu do phì đại hạch bạch huyết hoặc khối u vùng trung tâm phổi. Thường gặp nhất là ung thư phổi nguyên phát, đặc biệt các khối u trung tâm xâm lấn hoặc di căn đến hạch rốn phổi, làm vùng này tăng đậm độ.



Dấu hiệu nhận biết và khi nào cần gặp bác sĩ?
Hiện tượng đậm ở vùng rốn phổi thường được phát hiện trên chụp phim X-quang hoặc CT ngực, và không phải lúc nào cũng biểu hiện triệu chứng rõ ràng. Trong những trường hợp lành tính hoặc do cấu trúc sinh lý, thường sẽ không cảm thấy bất thường. Tuy nhiên, rốn phổi đậm có thể là dấu hiệu của các bệnh lý và triệu chứng sẽ biểu hiện dựa trên bệnh mắc phải, điển hình như:
- Ho kéo dài, ho ra máu;
- Khó thở, tức ngực;
- Sụt cân không rõ nguyên nhân;
- Sốt kéo dài;
- Mệt mỏi.
Rốn phổi đậm được chẩn đoán như thế nào?
Tình trạng rốn phổi đậm được phát hiện chủ yếu thông qua chẩn đoán hình ảnh, kết hợp với đánh giá lâm sàng và xét nghiệm theo chỉ định của nhân viên y tế, cụ thể như sau:
1. Khám lâm sàng và hỏi bệnh sử
Khám lâm sàng và khai thác tiền sử bệnh lý là một trong những bước quan trọng ban đầu, giúp Bác sĩ định hướng nguyên nhân trước khi đưa ra chỉ định cận lâm sàng, bao gồm:
- Khám lâm sàng: Đánh giá các dấu hiệu hô hấp và toàn thân như nhịp thở, tiếng thở bất thường, ran phổi, dấu hiệu suy tim, hạch ngoại biên, sốt hoặc sụt cân. Những biểu hiện này giúp gợi ý rốn phổi đậm do nguyên nhân tim mạch, nhiễm trùng, viêm hay ác tính;
- Khai thác tiền sử bệnh: Các triệu chứng cơ năng (ho kéo dài, khó thở, đau ngực, ho ra máu), thời gian xuất hiện và tiến triển triệu chứng; tiền sử bệnh phổi, tim mạch, lao, bệnh hệ thống; tiền sử hút thuốc, tiếp xúc nghề nghiệp và tiền sử ung thư.
Từ thông tin khám lâm sàng và bệnh sử, Bác sĩ sẽ định hướng chẩn đoán và quyết định các phương tiện chẩn đoán hình ảnh cũng như các xét nghiệm xác định chính xác nguyên nhân vùng rốn phổi bị dày đặc.
2. Các phương pháp chẩn đoán hình ảnh
Chẩn đoán bằng hình ảnh là phương pháp phát hiện phổ biến tình trạng đậm đặc ở rốn phổi, bao gồm:
- Chụp X-quang ngực: Đây thường là phương pháp phát hiện ban đầu và phổ biến;
- Chụp cắt lớp vi tính (CT scan) lồng ngực: Phương pháp quan trọng nhất để đánh giá chi tiết cấu trúc rốn phổi, hạch và các tổn thương xung quanh.
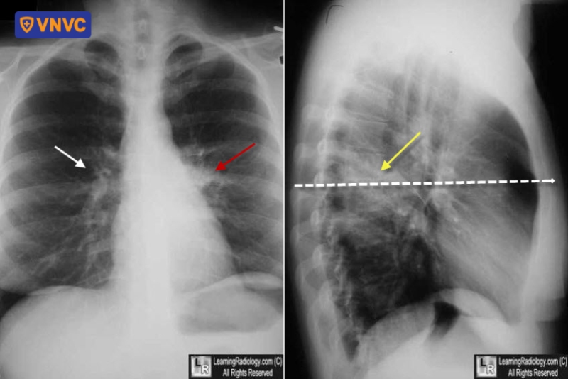
Trên phim chụp X-quang phổi hoặc hình chụp CT, hai rốn phổi sẽ có độ đậm xấp xỉ bằng nhau. Tuy nhiên, trong trường hợp không có vôi hóa phổi (liên quan đến bệnh u hạt trước đó), nếu một rốn phổi “đặc hơn” rốn phổi còn lại, cần nghi ngờ có sự tồn tại của hạch rốn phổi to hoặc khối u:
3. Các xét nghiệm chuyên sâu khác
Trong trường hợp hiện tượng rốn phổi bị đậm trong chẩn đoán hình ảnh và nghi ngờ mắc một số bệnh lý, Bác sĩ có thể chỉ định các xét nghiệm chuyên sâu khác như xét nghiệm máu, test nhiễm trùng, đo chức năng hô hấp, nội soi phế quản, sinh thiết hạch/ khối tổn thương nhằm xác định bệnh và can thiệp kịp thời.
Cách điều trị tình trạng rốn phổi đậm
Rốn phổi đậm chỉ là hiện tượng được phát hiện dựa trên chẩn đoán hình ảnh, không phải là một bệnh lý riêng biệt nhưng có thể là dấu hiệu cảnh báo một số bệnh lý lành tính hoặc ác tính. Do đó, việc điều trị sẽ phụ thuộc vào nguyên nhân gây ra tình trạng dày đặc ở vùng rốn phổi, cụ thể như sau:
1. Điều trị các nguyên nhân lành tính
Nếu tình trạng rốn phổi bị đậm do biến thể giải phẫu, tư thế chụp hoặc không kèm triệu chứng, thì không cần phải can thiệp điều trị y tế, chỉ theo dõi định kỳ theo chỉ định bác sĩ. Đối với các bệnh lý lành tính, bệnh nhân cần tuân thủ theo chỉ định điều trị của nhân viên y tế, đồng thời tránh tiếp xúc với các yếu tố nguy cơ làm trầm trọng thêm bệnh.
2. Điều trị các nguyên nhân ác tính
Trong trường hợp rốn phổi đậm do các nguyên nhân ác tính như ung thư phổi nguyên phát, u lympho ác tính hoặc di căn hạch, điều trị tập trung vào loại ung thư mắc phải, giai đoạn mắc bệnh và thể trạng tổng quan của bệnh nhân. Các liệu pháp có thể được chỉ định bao gồm phẫu thuật, hóa trị, xạ trị, liệu pháp nhắm trúng đích, liệu pháp miễn dịch.
3. Theo dõi và quản lý
Theo dõi và quản lý rốn phổi đậm tập trung vào việc giám sát nguyên nhân gây ra tình trạng này. Thông thường, bác sĩ sẽ theo dõi bằng X-quang hoặc CT ngực định kỳ để đánh giá sự thay đổi về kích thước và mật độ rốn phổi hoặc hạch bạch huyết. Đồng thời, cần giám sát triệu chứng như ho, khó thở, đau ngực hay sụt cân, và duy trì điều trị bệnh nền nếu có nguyên nhân tim mạch, nhiễm trùng hoặc ác tính.

Tóm lại, hiện tượng rốn phổi đậm là dấu hiệu hình ảnh quan trọng trên X-quang ngực, phản ánh sự thay đổi tại vùng rốn phổi nhưng không phải lúc nào cũng nguy hiểm. Trong nhiều trường hợp lành tính, đây chỉ là biến thể giải phẫu hoặc do các yếu tố sinh lý, không ảnh hưởng đến sức khỏe. Tuy nhiên, khi rốn phổi đậm đi kèm triệu chứng lâm sàng hoặc tiến triển nhanh, nó có thể gợi ý các bệnh lý nghiêm trọng.
- Medial view of the lungs. (2026). Kenhub. https://www.kenhub.com/en/library/anatomy/hilum-of-the-lung
- Jash, D., Maji, A., Patra, A., & Sarkar, S. (2013). Approach to unequal hilum on chest X-ray. The Journal of Association of Chest Physicians, 1(2), 32. https://doi.org/10.4103/2320-8775.123204
- Pascal Sève, Pacheco, Y., François Durupt, Yvan Jamilloux, Mathieu Gerfaud-Valentin, Isaac, S., Loïc Boussel, Calender, A., Géraldine Androdias, Valeyre, D., & Jammal, T. E. (2021). Sarcoidosis: A Clinical Overview from Symptoms to Diagnosis. Cells, 10(4), 766–766. https://doi.org/10.3390/cells10040766







