Phân biệt thủy đậu và tay chân miệng qua hình ảnh dễ dàng, chính xác

Quản lý Y khoa
Hệ thống Tiêm chủng VNVC

11:15 02/04/2025
Thủy đậu và tay chân miệng là hai bệnh phổ biến ở trẻ, có thể gây sốt, lở miệng và mụn nước trên da. Tuy nhiên, mỗi bệnh lại có những đặc điểm và triệu chứng riêng biệt mà không phải ai cũng dễ dàng nhận ra. Việc phân biệt thủy đậu và tay chân miệng qua hình ảnh không chỉ giúp phụ huynh nắm bắt chính xác tình trạng sức khỏe của con mà còn giúp bố mẹ nhanh chóng đưa trẻ đến bác sĩ để điều trị kịp thời.
| BS.CKI Nguyễn Công Luận - Quản lý Y khoa khu vực 2 Đông Nam Bộ, Hệ thống Trung tâm tiêm chủng VNVC cho biết: “Tỷ lệ nhập viện do thủy đậu ở trẻ khỏe mạnh là khoảng 2 – 3 trên 1.000 trường hợp, trong khi ở người lớn là 8 trên 1.000. Tử vong do thủy đậu xảy ra ở khoảng 1 trên 60.000 ca (1). Đối với tay chân miệng, những dấu hiệu nguy hiểm như lờ đờ, phù phổi, co giật, khó thở và hôn mê có thể dẫn đến tử vong. Tỷ lệ tử vong do virus enterovirus 71 trong một nghiên cứu tổng hợp là 1,7% (2).” |

Tìm hiểu về bệnh thủy đậu và tay chân miệng
Thủy đậu và tay chân miệng là hai bệnh truyền nhiễm thường gặp ở trẻ em, có những điểm tương đồng nhưng cũng có những khác biệt quan trọng. Việc hiểu rõ về hai bệnh này sẽ giúp bố mẹ có biện pháp phòng ngừa và chăm sóc con cái tốt hơn.
1. Bệnh thủy đậu
Thủy đậu là bệnh truyền nhiễm cấp tính, chủ yếu gây ra các nhiễm trùng ngoài da với dấu hiệu đặc trưng là các vết phát ban và mụn nước chứa dịch mủ, gây ngứa ngáy và khó chịu. Bệnh có thể ảnh hưởng đến cả trẻ em và người lớn. Những người chưa có miễn dịch với thủy đậu, do chưa từng mắc bệnh hoặc chưa tiêm đủ vắc xin ngừa thủy đậu, đều có nguy cơ lây nhiễm và mắc bệnh.
Bệnh thủy đậu lây lan dễ dàng qua không khí, chủ yếu thông qua ho, hắt hơi của người bị nhiễm bệnh. Thời gian ủ bệnh kéo dài từ 10 – 21 ngày, sau đó phát ban đặc trưng sẽ xuất hiện. Bệnh có thể lây lan từ 1 – 2 ngày trước khi phát ban cho đến khi tất cả các mụn nước đóng vảy hoàn toàn. Ngoài ra, bệnh thủy đậu cũng có thể lây truyền qua tiếp xúc trực tiếp với các mụn nước của người nhiễm bệnh. Những người mắc bệnh zona (hay còn gọi là bệnh giời leo) cũng có thể truyền virus thủy đậu cho người chưa có miễn dịch.
Vào năm 2013, bệnh thủy đậu đã dẫn đến khoảng 7.000 ca tử vong, và con số này giảm còn 6.400 ca vào năm 2015. Bệnh có khả năng lây nhiễm cực kỳ cao, với tỷ lệ nhiễm lên đến 90% đối với những người tiếp xúc gần. Trước khi có vắc xin phòng ngừa, bệnh thủy đậu mỗi năm gây ra khoảng 4 triệu ca mắc mới tại Hoa Kỳ, khiến hơn 10.500 người phải nhập viện và có đến 150 trường hợp tử vong do bệnh (3).
2. Bệnh tay chân miệng
Tay chân miệng là bệnh truyền nhiễm lây lan từ người này sang người khác, chủ yếu do virus đường ruột gây ra. Triệu chứng đặc trưng của bệnh bao gồm sự xuất hiện của các vết phỏng nước trên da và niêm mạc, thường tập trung ở miệng, lòng bàn tay và bàn chân. Bệnh có thể gây ra những tổn thương đáng kể, đặc biệt là ở trẻ em.
Virus gây bệnh tay chân miệng lây truyền chủ yếu qua tiếp xúc trực tiếp với nước bọt, dịch mũi, dịch từ mụn nước và phân của người nhiễm bệnh. Ngoài ra, bệnh cũng có thể lây qua tiếp xúc gián tiếp khi người bệnh chạm vào các vật dụng hoặc bề mặt, sau đó người khác tiếp xúc với những vật đó.
Tại Việt Nam, bệnh tay chân miệng xuất hiện quanh năm tại hầu hết các tỉnh thành, với hai đợt dịch cao điểm thường rơi vào khoảng tháng 3 – 5 và từ tháng 9 – 12. Hằng năm, có khoảng 50.000 – 100.000 trường hợp mắc bệnh tay chân miệng được ghi nhận, trong đó có một số ca tử vong. Khu vực phía Nam là nơi chịu ảnh hưởng nặng nề nhất, chiếm hơn 60% tổng số ca bệnh toàn quốc. Đặc biệt, năm 2011, Việt Nam chứng kiến sự bùng phát mạnh mẽ của bệnh tay chân miệng, với 112.370 ca mắc và 169 ca tử vong được báo cáo từ tất cả 63 tỉnh thành. (4)

Phân biệt thủy đậu và tay chân miệng
Khi trẻ bị sốt, phát ban hoặc nổi mụn nước, nhiều phụ huynh dễ nhầm lẫn giữa bệnh thủy đậu và bệnh tay chân miệng do các triệu chứng ban đầu khá giống nhau. Tuy nhiên, mỗi bệnh lại có những đặc điểm và biểu hiện riêng biệt. Việc phân biệt tay chân miệng và thủy đậu chính xác rất quan trọng, giúp bố mẹ có thể nhận diện đúng bệnh và đưa trẻ đi điều trị kịp thời. Dưới đây là bảng phân biệt thủy đậu và tay chân miệng chi tiết, đầy đủ nhất:
| Tiêu chí | Thủy đậu | Tay chân miệng |
| Nguyên nhân | Bệnh thủy đậu do virus Varicella Zoster (VZV) gây ra. | Do virus thuộc họ virus đường ruột, điển hình là virus Coxsackievirus A16 (nhóm A16) và Enterovirus 71 (EV71) gây ra. |
| Đối tượng | Tất cả mọi lứa tuổi đều có thể mắc bệnh thuỷ đậu, chủ yếu gặp ở trẻ từ 1 – 14 tuổi, phổ biến nhất là ở trẻ từ 2 – 8 tuổi. | Tay chân miệng thường ảnh hưởng đến trẻ em dưới 5 tuổi. |
| Phương thức lây bệnh |
|
|
| Thời điểm | Xuất hiện rải rác quanh năm, thường cao điểm vào mùa đông. | Bệnh có 2 đỉnh dịch trong năm là tháng 3 – 5 và tháng 9 – 11. |
| Triệu chứng | Các triệu chứng đầu tiên của bệnh thủy đậu bao gồm:
|
Các triệu chứng đầu tiên thường bao gồm:
|
| Đặc điểm nốt phát ban |
|
|
| Vị trí phát ban | Phát ban thường xuất hiện ở lòng bàn tay, khuỷu tay, mông, bụng, đầu gối, lòng bàn chân, loét miệng. | Phát ban thủy đậu thường rải rác toàn thân, lan từ đầu, mặt, xuống thân và tay chân. |
| Biến chứng | Hiếm khi có biến chứng. Tuy nhiên, trong một số trường hợp có thể gây ra biến chứng như:
|
Hiếm khi có biến chứng. Nhưng trong một số trường hợp hiếm gặp, có thể xảy ra các biến chứng nghiêm trọng như:
|
| Phòng ngừa |
|
→ Đăng ký nhận thông tin về vắc xin phòng bệnh Tay chân miệng sắp về Việt Nam TẠI ĐÂY! |
| Điều trị | Điều trị thủy đậu bằng cách sau:
|
Bệnh không có thuốc điều trị đặc hiệu. Các biện pháp làm giảm triệu chứng và biến chứng của bệnh tay chân miệng như:
|
Hình ảnh phân biệt thủy đậu và tay chân miệng
Việc so sánh thủy đậu và tay chân miệng qua hình ảnh là một cách hiệu quả giúp các phụ huynh sớm phát hiện và phân biệt chính xác hai căn bệnh này. Mặc dù cả hai bệnh đều có những triệu chứng nổi mụn nước, nhưng hình dạng, vị trí và sự phân bố của các vết mụn lại khác nhau rõ rệt. Dưới đây là hình ảnh phân biệt thủy đậu và tay chân miệng đầy đủ nhất:
| Bệnh tay chân miệng | Bệnh thủy đậu |
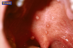
Các mụn nước và vết loét hình thành bên trong miệng trong giai đoạn đầu của bệnh tay, chân và miệng |
Trong giai đoạn đầu của bệnh thủy đậu, các nốt mụn nước và mụn nước màu hồng sẽ xuất hiện. |
|
Khi bị tay chân miệng, người bệnh sẽ xuất hiện các vết loét trong miệng khá giống nhiệt miệng. |
Bệnh thủy đậu cũng có thể gây ra mụn nước ở bên trong miệng. |
|
Phát ban thường xuất hiện ở lòng bàn tay, khuỷu tay, đầu gối, mông, bụng, lòng bàn chân, loét miệng |
Bệnh thủy đậu gây ra mụn nước có khuynh hướng mọc rải rác toàn thân, lan từ đầu, mặt, xuống thân và tay chân. |
|
Mụn nước tay chân miệng nhỏ hơn so với mụn nước thủy đậu và không gây đau, ngứa. |
Mụn nước của thủy đậu thường to và mỏng hơn. Mụn nước gây ngứa và đau nhiều. |
|
Người bệnh tay chân miệng sẽ có nhiều đốm đỏ xuất hiện trên tay. |
Mụn nước ở bệnh thủy đậu nhiều, có thể đóng vảy trong một thời gian và lành lại. |
⇒ Tham khảo thêm: Phân biệt nhiệt miệng và tay chân miệng dễ dàng qua hình ảnh
Với những thông tin chi tiết và hình ảnh minh họa trong bài viết, hy vọng các bậc phụ huynh sẽ dễ dàng phân biệt thủy đậu và tay chân miệng. Việc nhận diện sớm và chính xác hai bệnh này không chỉ giúp chăm sóc trẻ tốt hơn mà còn góp phần phòng ngừa các biến chứng nghiêm trọng. . Đặc biệt, để phòng bệnh thủy đậu và tay chân miệng, bố mẹ nên cho trẻ đi tiêm vắc xin đầy đủ, đúng lịch theo khuyến cáo.
- Editorial: Is Chicken Pox Deadly? It Depends. (2020). Historyofvaccines.org. https://historyofvaccines.org/blog/editorial-is-chicken-pox-deadly-it-depends
- Guerra, A. M., Orille, E., & Waseem, M. (2023, March 4). Hand, Foot, and Mouth Disease. Nih.gov; StatPearls Publishing. https://www.ncbi.nlm.nih.gov/books/NBK431082/
- YokoCo. (2023, March 25). Chickenpox (Varicella). NFID. https://www.nfid.org/infectious-disease/chickenpox/
- World. (2019, March 28). Hand, foot and mouth disease in Viet Nam. World Health Organization: WHO. https://www.who.int/vietnam/health-topics/hand-foot-and-mouth-disease-(hfmd)
















